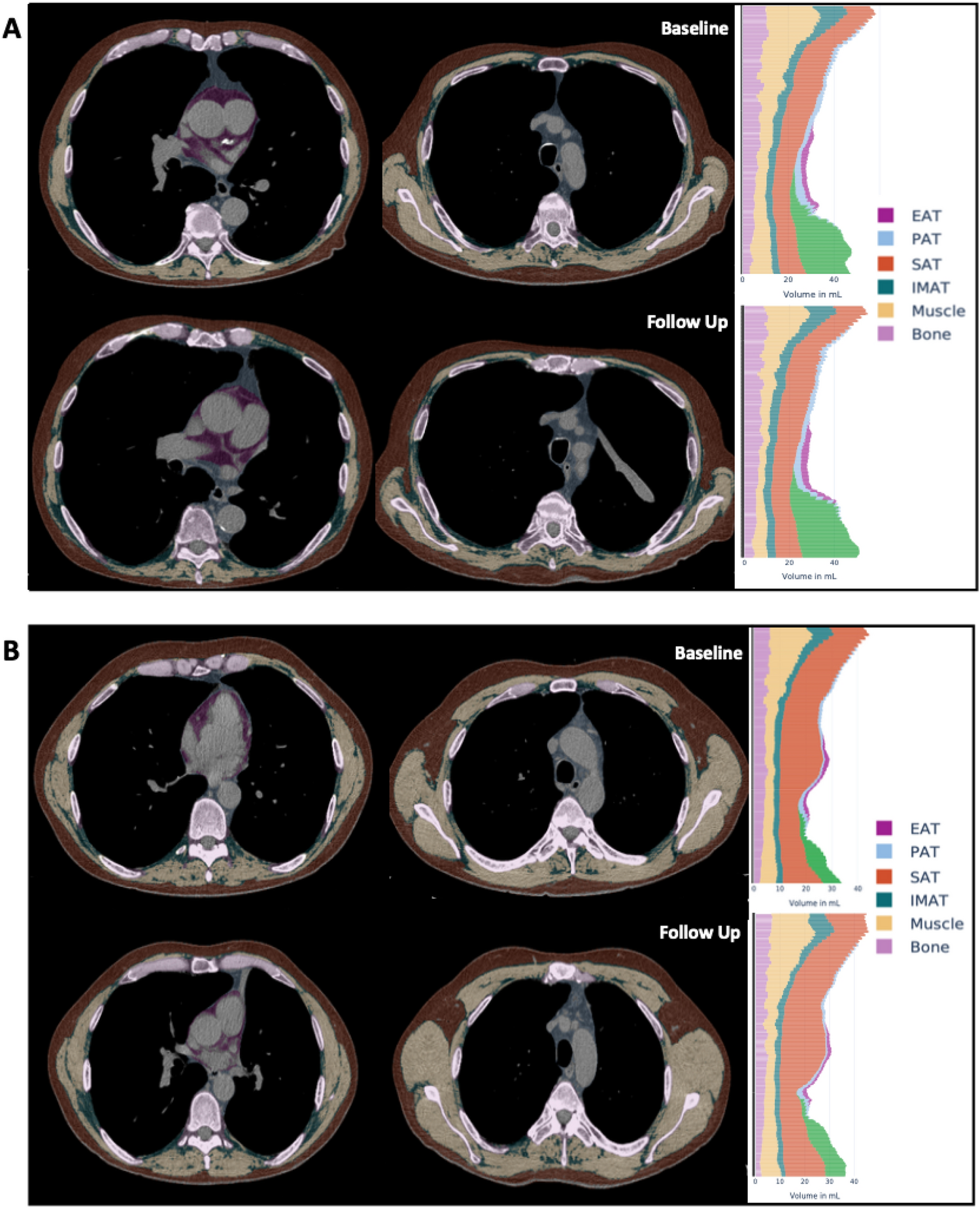
Figure 1

Exemplary outputs of a fully automated CT-based body composition analysis (BCA) before and after BLVR. The BCA network detects various BCA features within the chest CT scan, which are combined with bone volume to calculate body size-adjusted biomarkers. Individual volume distribution is graphically presented. Tissues are marked by colors: pink for bone, yellow for muscle, orange-brown for subcutaneous adipose tissue (SAT), purple for epicardial adipose tissue (EAT), blue for paracardial adipose tissue (PAT), and turquoise for inter- and intramuscular adipose tissue (IMAT). Shown here is an illustrative analysis comparing a patient with a decrease in muscle volume (A) to another patient with an increase in muscle volume (B). Visceral adipose tissue (VAT), represented in green, was not included in this analysis due to variations in the abdominal area covered by the scans among patients.