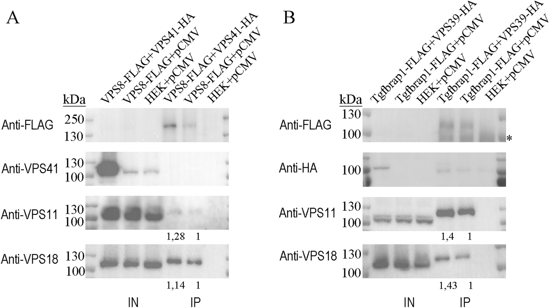
Figure 2

The overproduction of Vps39 or Vps41 does not decrease the amount of CORVET-bound Vps11 and Vps18. HEK293 cells were stably transfected with Vps8-FLAG (A) or Tgfbrap1-FLAG (B) and transiently transfected with Vps41-HA (A) or Vps39-HA (B), respectively. Total cell lysates were applied on anti-FLAG resin and bound proteins were detected by western blot. Overexpression of HOPS-specific subunits did not change the amounts of Vps8- (A) or Tgfbrap1-bound (B) core subunits (Vps11 and Vps18) compared to control cells (HEK + pCMV). Relative amounts of Vps8- (A) or Tgfbrap1-bound (B) core subunits were calculated by densitometry using Image J and are shown below each panel. Representative blots shown of three experiments, based on which the mean ± error values are: Tgfbrap1-FLAG + Vps39-HA_Vps11 blot: 1.05 ± 0.43; Tgfbrap1-FLAG + Vps39-HA_Vps18 blot: 1.31 ± 0.71; Vps8-FLAG + Vps41-HA_Vps11 blot: 1.52 ± 0.82; Vps8-FLAG + Vps41-HA_Vps18 blot: 1.21 ± 0.25. *: unspecific bands.