Figure 5

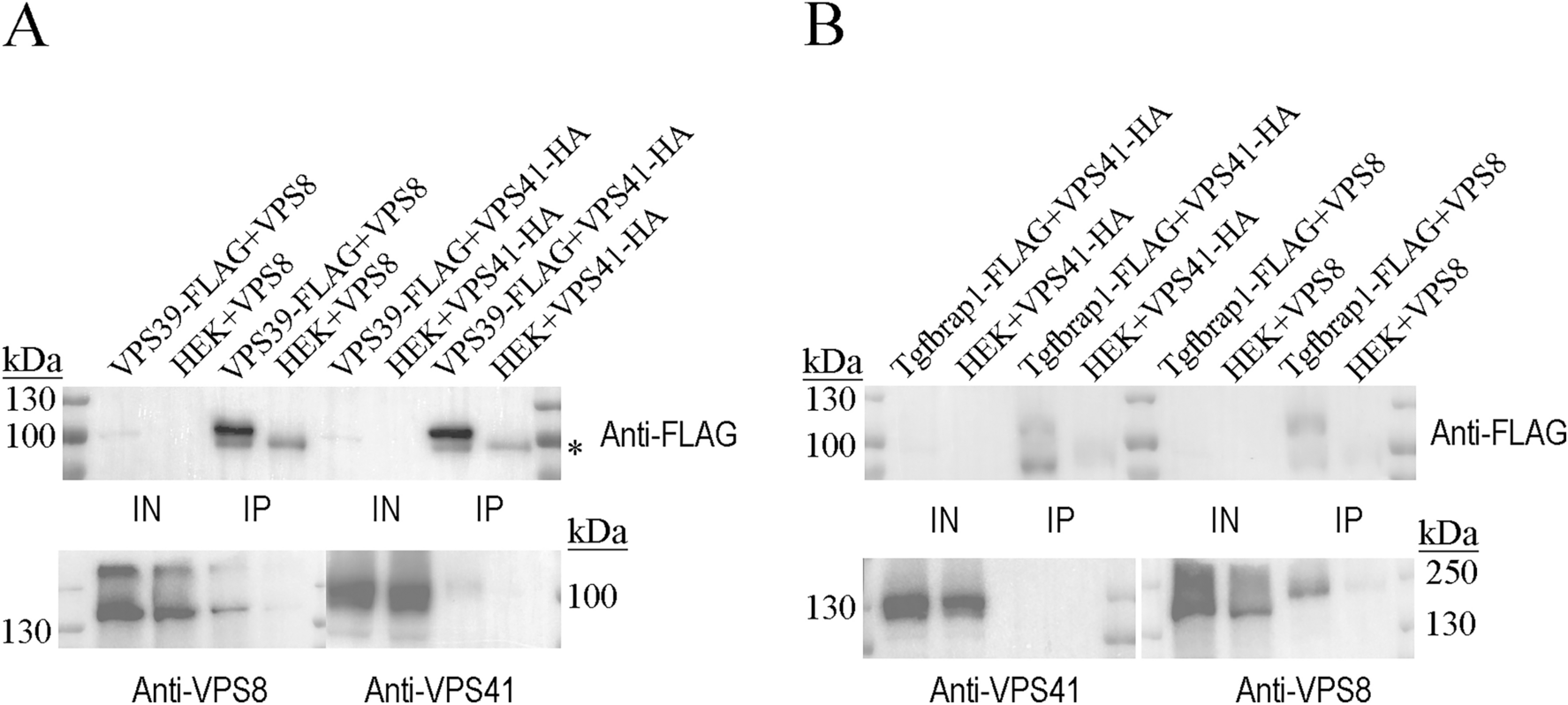
A hybrid complex containing VPS39 and VPS8 can form in HEK293 cells. Cells were transfected with the combination of VPS39-FLAG and VPS8 or with VPS39-FLAG and VPS41-HA. After anti-FLAG IP not just VPS41 (HOPS), but VPS8 (VPS39–VPS8 hybrid) could be detected in the eluates. *: unspecific bands.