Figure 5
From: Dysregulated gene subnetworks in breast invasive carcinoma reveal novel tumor suppressor genes

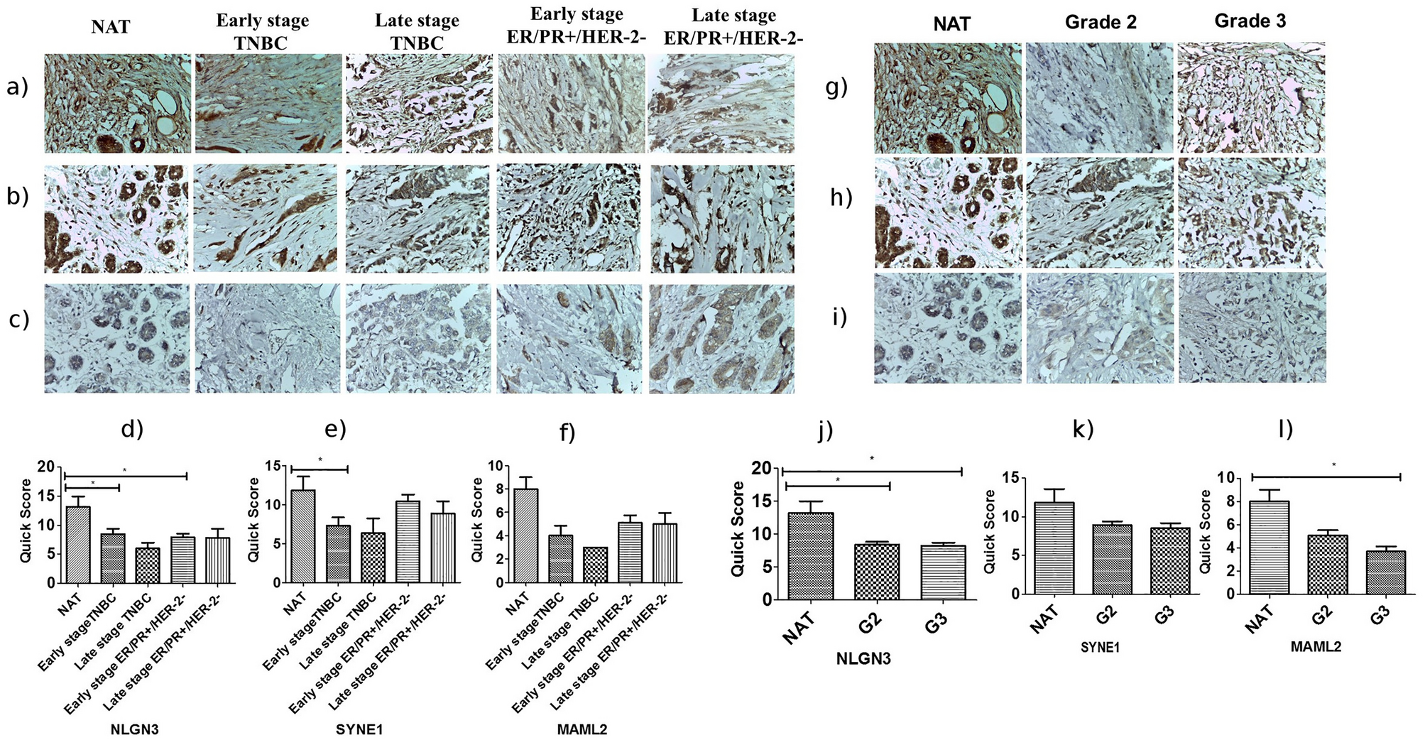
Figure showing the immunohistochemically stained TMA sections for a) NLGN3 b) SYNE1 and c) MAML2 in NAT, early stage TNBC, late stage TNBC, early stage ER/PR+/HER-2- and late stage ER/PR+/HER-2-. d) NLGN3 expression is significantly decreased in early stage ER/PR+/HER-2- (p-value=0.0162) and early stage TNBC (p-value=0.0328). e) SYNE1 expression is significantly downregulated in early stage TNBC (pvalue=0.0410). f) Downregulated expression of MAML2 was found in all 4 categories but was not statistically significant. Right panel shows the immunohistochemically stained TMA sections for g) NLGN3 h) SYNE1 and i) MAML2 in NAT, grade 2 and grade 3 tumor. j) The expression of NLGN3 is significantly decreased in grade 2 (pvalue=0.0137) and grade 3 (p-value=0.0123) compared to NAT. k) There was a decrease in SYNE1 expression in grade 2 and 3 tumor samples but it was statistically insignificant. l) MAML2 expression is significantly decreased in grade 3 (p-value=0.017). Data are represented as mean ± SD. Student’s t-test was used for the statistical analyses, n = 3 (*P < 0.05).