Figure 2

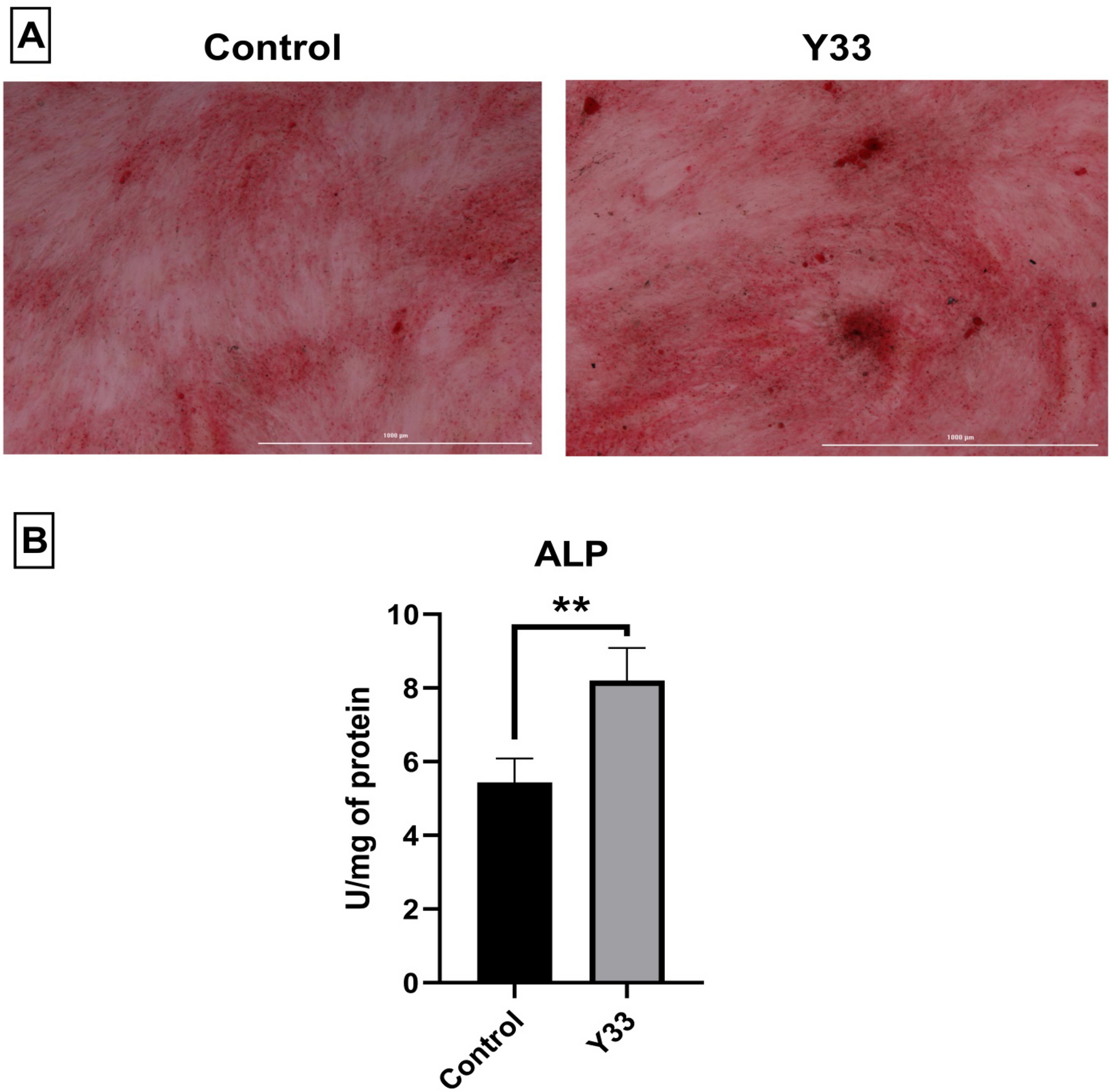
Alizarin Red staining (A) and alkaline phosphatase activity (B) of the treated groups by the extract. The white bars under microscopy images are equal to 1000 µm. **P < 0.01.

Alizarin Red staining (A) and alkaline phosphatase activity (B) of the treated groups by the extract. The white bars under microscopy images are equal to 1000 µm. **P < 0.01.