Figure 1
From: Preliminary study on the optical diagnosis of orbital rhabdomyosarcoma by Raman spectroscopy

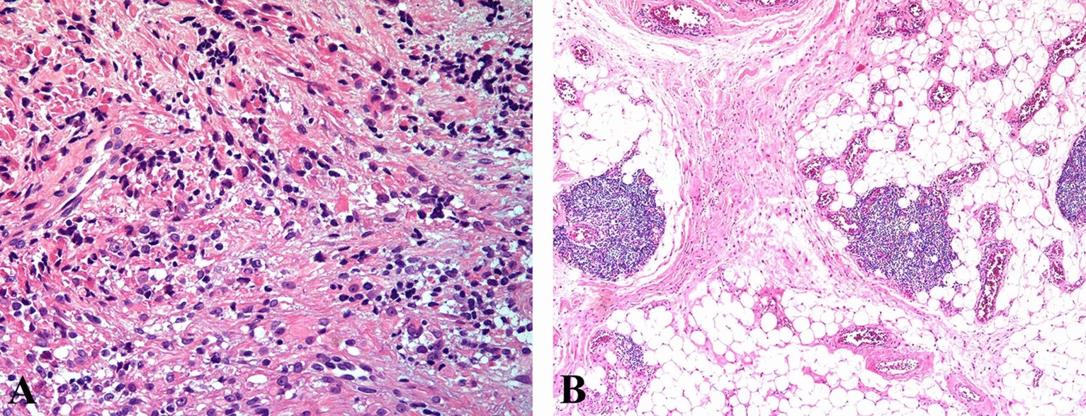
Representative hematoxylin and eosin (H&E)-stained histopathologic slides of embryonal ORMS tissue (A) and normal orbital tissue (B) (magnification: × 200). (A) Note the fascicles of pleomorphic, spindle-shaped cells with hyperchromatic nuclei and the eosinophilic myoblasts in ORMS. (B) The normal orbital tissue is predominately composed of fat, fibrous connective tissue and blood vessels.