Figure 3
From: Twist2 contributes to skin regeneration and hair follicle formation in mouse fetuses

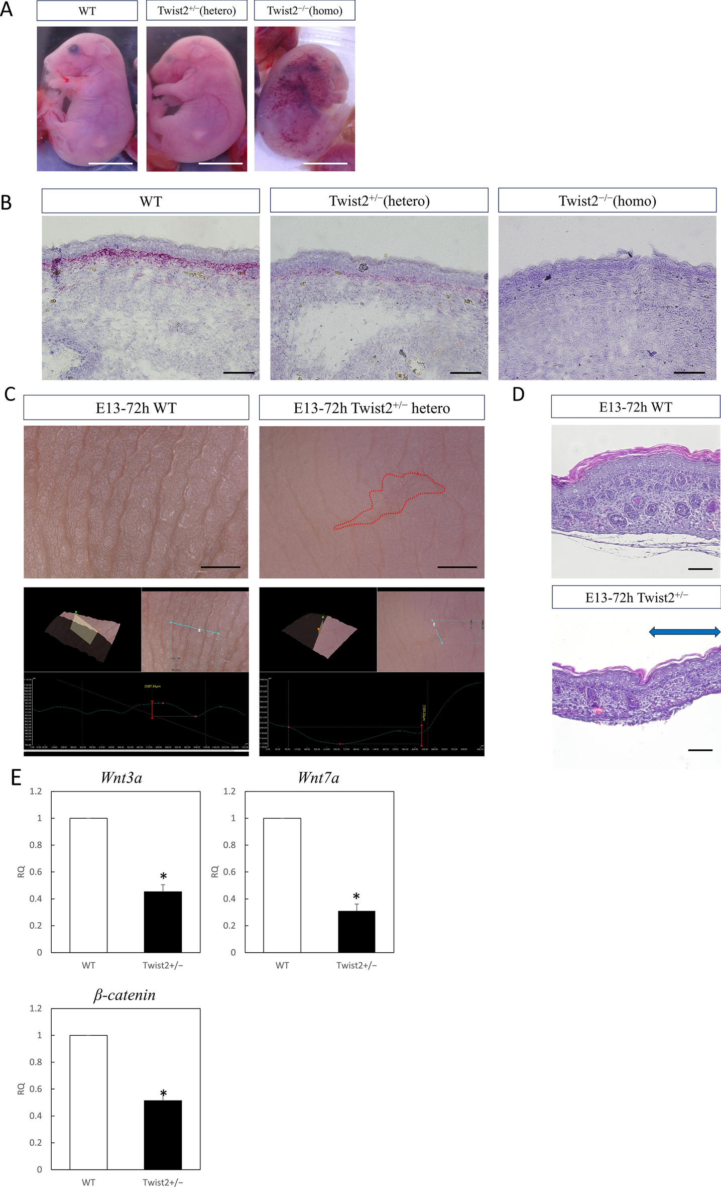
Wound healing in fetal Twist2 knockout mice. (A) Macrograph of Twist2 homozygous, heterozygous knockout, and wild type mice. Bar = 5 mm. Homozygotes showed congestion due to lymphedema. (B) Histology of normal skin of Twist2 homozygous, heterozygous knockout, and wild type E13 mice. Bar = 100 µm. No expression of Twist2 was observed in the dermis in the homozygous mice. (C) Macroscopic image of a wound of wild-type and Twist2 ± E13 mice at 72 h. Visible scarring was observed in Twist2-knockout mice. Bar = 500 µm. (D) Histological image of a wound on E13 after 72 h in wild type and Twist2 ± mice (H-E staining). Twist2-knockout mice showed no follicular regeneration in the wound area. Blue arrow: extent of wound. Bar = 100 µm. (E) qPCR analysis of hair induction-related gene expression in wound areas. RQ, relative quantification; qPCR, quantitative polymerase chain reaction. *P < 0.05.