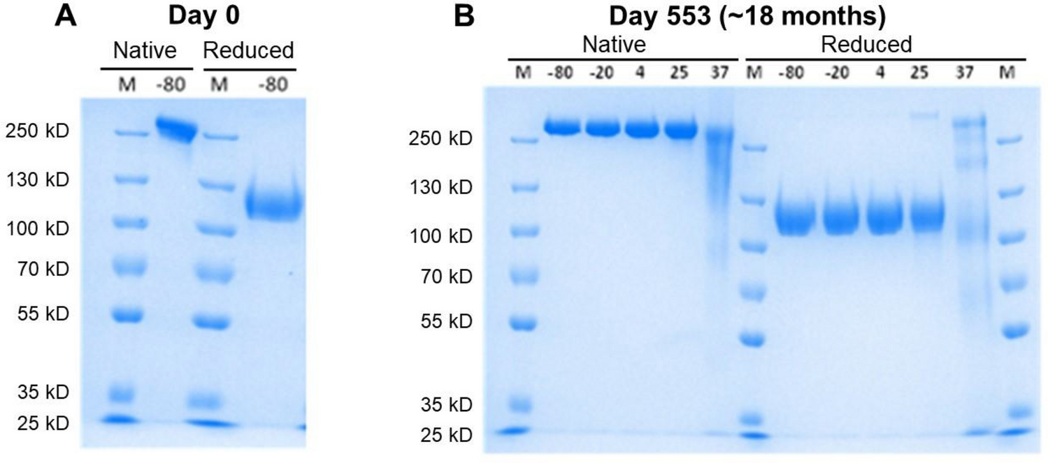
Figure 3
From: In vitro and in vivo stability of a highly efficient long-acting cocaine hydrolase

Native and reduced SDS-PAGE gels of the purified CocH5-Fc(M6) protein (a full-length gel for each panel, without grouping). (A) Initially received protein (day 0). (B) Day 553 (~ 18 months) after the protein was stored at various temperatures: − 80 °C (indicated as − 80), − 20 °C (− 20), 4 °C (4), 25 °C (25), and 37 °C (37). The markers were indicated as M.