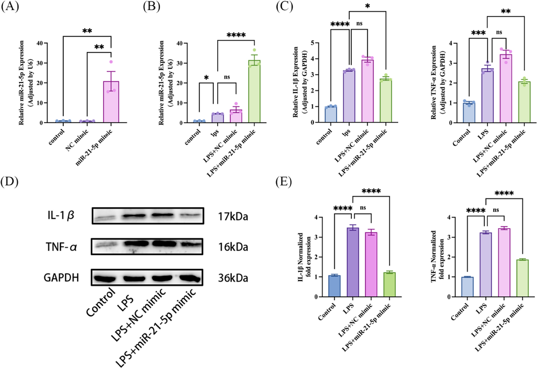
Figure 3
From: MiR-21-5p modulates LPS-induced acute injury in alveolar epithelial cells by targeting SLC16A10

Overexpression of miR-21-5p can improve the inflammatory response induced by LPS-induced A549 cells. (A) A549 cells were transfected with miR-21-5p mimic, the mRNA levels of miR-21-5p was detected by RT-qPCR in three groups including the control group, NC mimic and miR-21-5p mimic (n = 3). (B) A549 cells were transfected with miR-21-5p mimic, followed by exposure to LPS, the mRNA levels of miR-21-5p was detected by RT-qPCR in four groups including the control group, LPS, LPS + NC mimic and LPS + miR-21-5p mimic (n = 3). (C) The mRNA levels of IL-1β and TNF-α were further confirmed by RT-qPCR in four groups. (n = 3). (D) Western blot further verified the expression levels of IL-1β and TNF-α in four groups. (E) Quantification analysis of protein expression levels of IL-1β and TNF-α (n = 3). All data are shown as the mean ± SEM. ****P ≤ 0.0001, ***P ≤ 0.001, **P < 0.01, *P < 0.05; NS, not significant (P > 0.05).