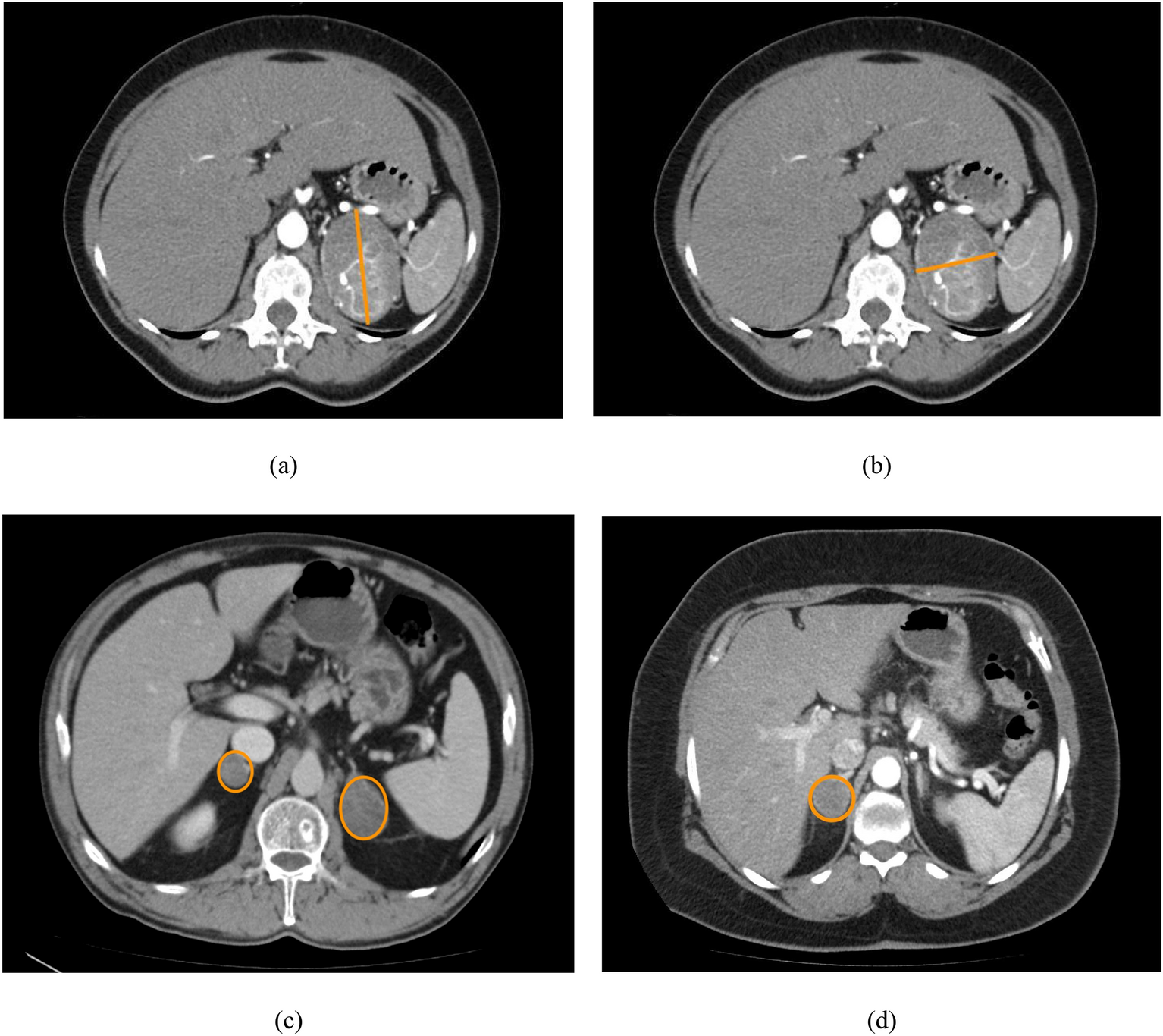
Figure 2

Examples CT image with adrenal tumour showing attributes used in this study: (a) maximal diameter for tumour with homogeneity feature absent and laterization feature present, (b) minimal diameter for tumour with homogeneity feature absent and laterization feature present, (c) tumour with laterization feature absent, (d) tumour with homogeneity feature present.