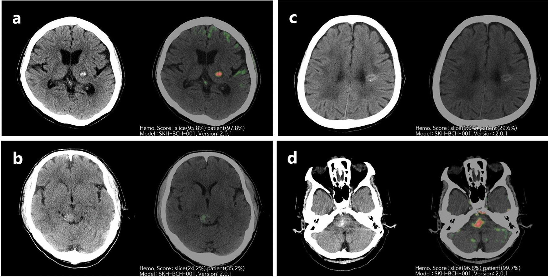
Figure 2

Representative images of the AI algorithm for differentiating CCM and AIH. AI, artificial intelligence; CCM, cerebral cavernous malformation; AIH, acute intraparenchymal hemorrhage; CT, computed tomography. (a) Brain CT shows AIH in the left thalamus. AI-assisted brain CT analysis provided probability scores of hemorrhage in a slicewise (95.8%) and patientwise (97.8%) manner. All six reviewers correctly interpreted the images as AIH for both AI-unassisted and AI-assisted interpretations. (b) Brain CT shows a CCM on the right side of the midbrain. AI-assisted brain CT analysis provided a probability score of hemorrhage in a slicewise (24.2%) and patientwise (35.2%) manner. One radiology resident and one emergency department physician incorrectly interpreted the images as AIH in the AI-unassisted brain CT. However, with the use of AI assistance, all reveiwers correctly diagnosed the images as CCM. (c) Brain CT shows a CCM in the left corona radiata. AI-assisted brain CT analysis generated probability scores of hemorrhage in a slicewise (9.0%) and patientwise (29.6%) manner. All six reviewers accurately identified the images as CCM for both AI-unassisted and AI-assisted interpretations. (d) Brain CT shows AIH in the pons. AI-assisted brain CT analysis generated a probability score of hemorrhage in a slicewise (96.8%) and patientwise (99.7%) manner. All neuroradiologists and emergency department physicians erroneously interpreted the images as CCM in the AI-unassisted brain CT. Nevertheless, with the use of AI assistance, all reviewers accurately diagnosed the images as AIH.