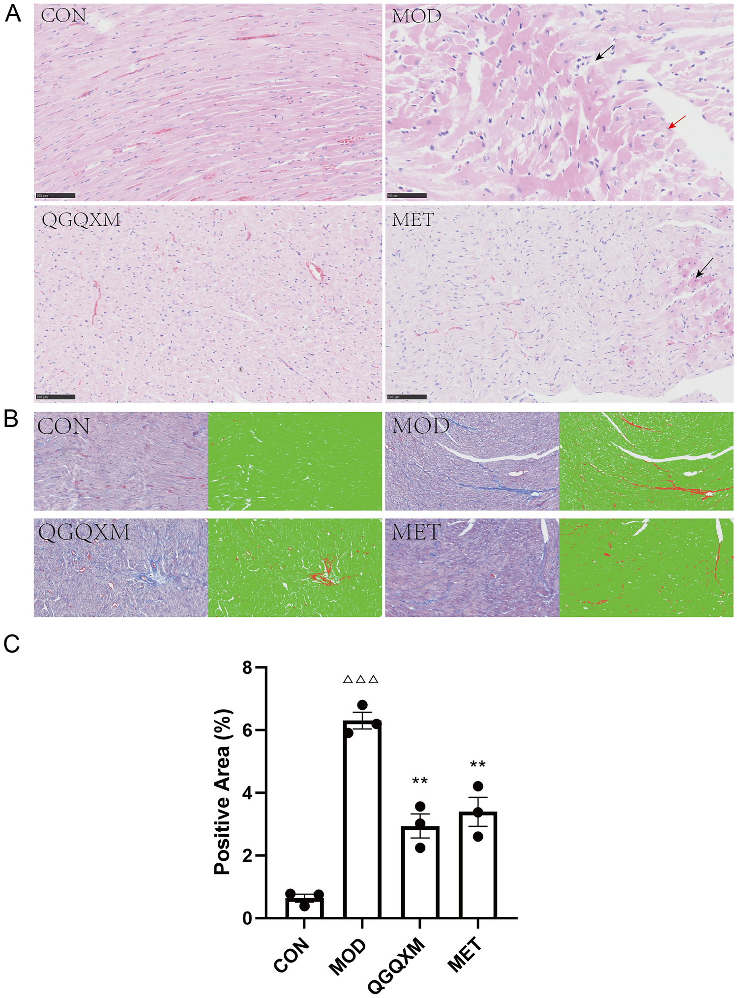
Figure 6

QGQXM can improve myocardial cell damage and reduce fibrotic area. (A) HE staining of representative images. The black arrows represent necrotic cardiomyocytes and the red arrows represent cardiomyocyte watery lesions. (B) Mosson dyeing representative images. (C) Summary of Mosson staining results in each group (n = 3); ΔΔΔ Compared with the control group P < 0.001; **P < 0.01 compared with model group.