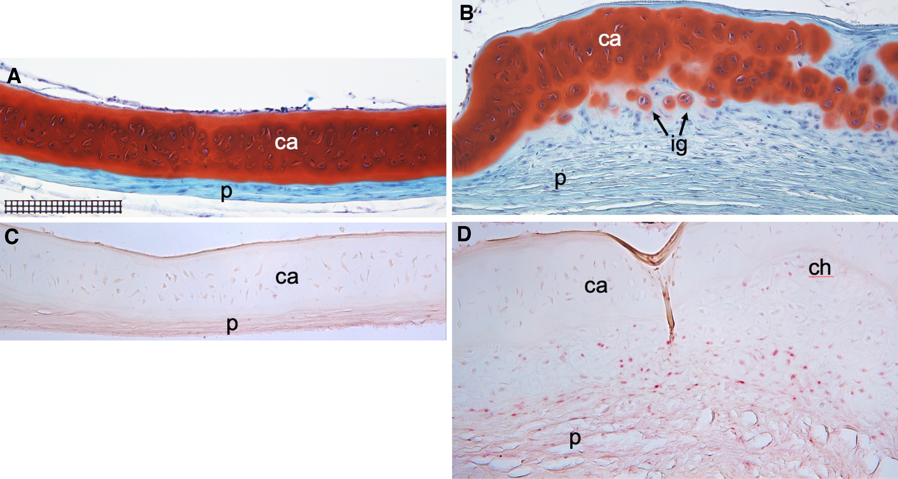
Figure 5
From: Increased water temperature contributes to a chondrogenesis response in the eyes of spotted wolffish

Histochemical and immunohistochemical analysis for PCNA in spotted wolffish scleral skeletal tissues. Representative normal (A, C) and lesion-like (B, D) scleral cartilage areas. (A) and (B), safranin O-fast green staining of areas of sections adjacent to those shown in (C) and (D), respectively. Safranin O staining (red/orange) marked cartilage matrix. (B) Isogenous groups of new chondrocytes (ig, arrowed) starting to secrete islands of cartilage matrix in areas above the perichondrium (p). A higher power X400 view of (B) displaying activated maturing chondrocytes is shown in Supplemental Fig. 7. IHCs for PCNA revealed a cellular nuclear staining (red) in perichondrium (p) and the region consistent with the position of the maturing chondrocytes (ch) of the scleral cartilage lesion-like areas of an abnormal wolffish eye (D). (C) PCNA staining was very low or not detected in other normal regions of the scleral skeleton in the same animal. No counterstain was applied to the sections shown in (C, D) in order to emphasize the IHC signals. Scale grid subdivisions in (A) represent 10 µm, panels (A–D) magnification: X200. Representative images are shown.