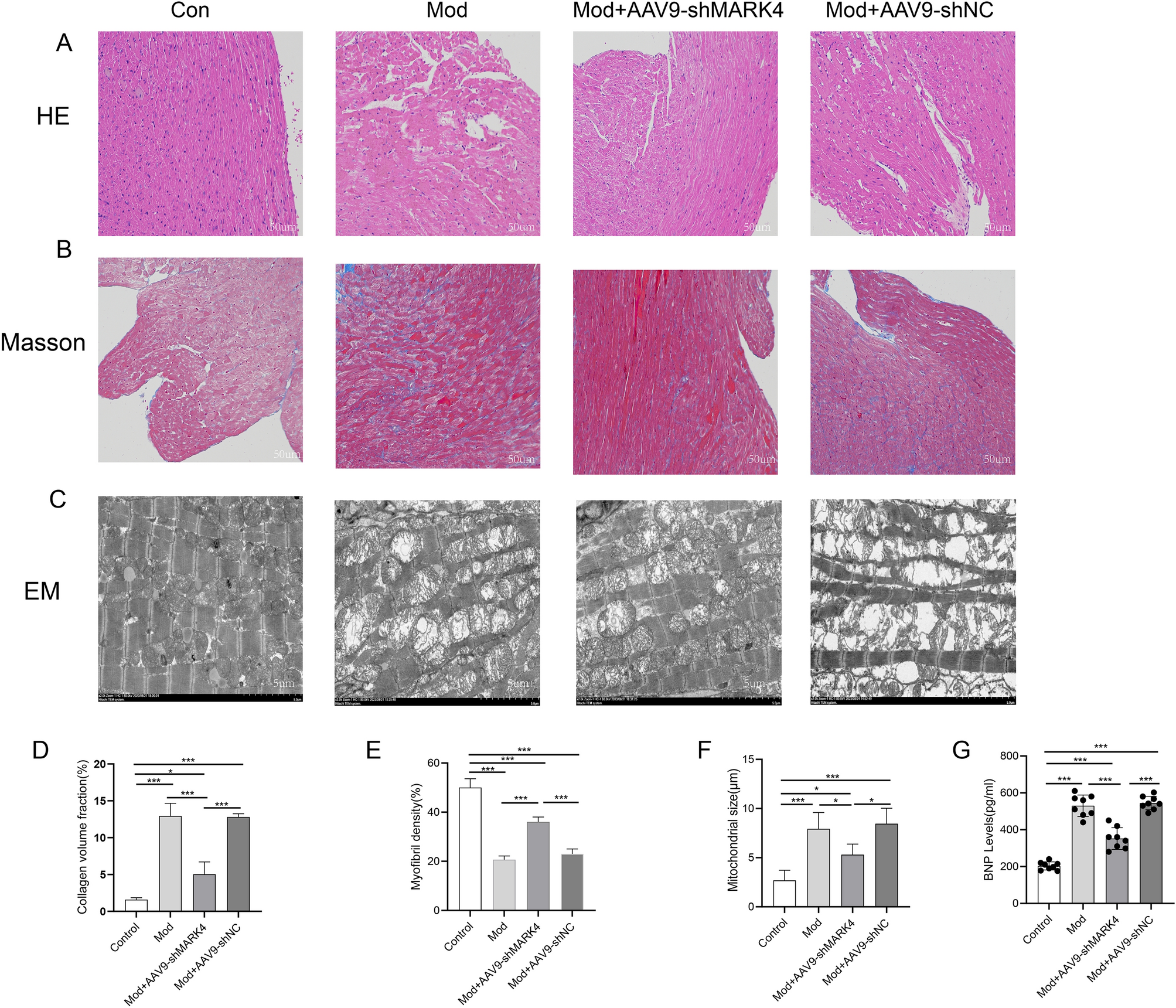
Figure 3

Effects of MARK4 deficiency on myocardial injury, myocardial fibrosis and mitochondrial structure in STZ-induced DCM mice. (A) Left ventricle stained with HE (original magnification × 200). (B) Left ventricle stained with Masson’s trichrome (original magnification × 200). (C) Transmission electron microscopy image of left ventricular myocardial (original magnification × 2000). (D) Quantitative analysis of collagen fibres using Masson’s trichrome staining (n = 3 samples per group). (E) Quantitative analysis of myofibrils in the myocardium using TEM (n = 3 samples per group). (F) Analysis of the mitochondrial size in the myocardium using TEM (n = 3 samples per group). (G) BNP levels in each group (n = 8 samples per group). The data are presented as the means ± SDs. Significant differences are indicated by *P < 0.05, **P < 0.01, and ***P < 0.001.