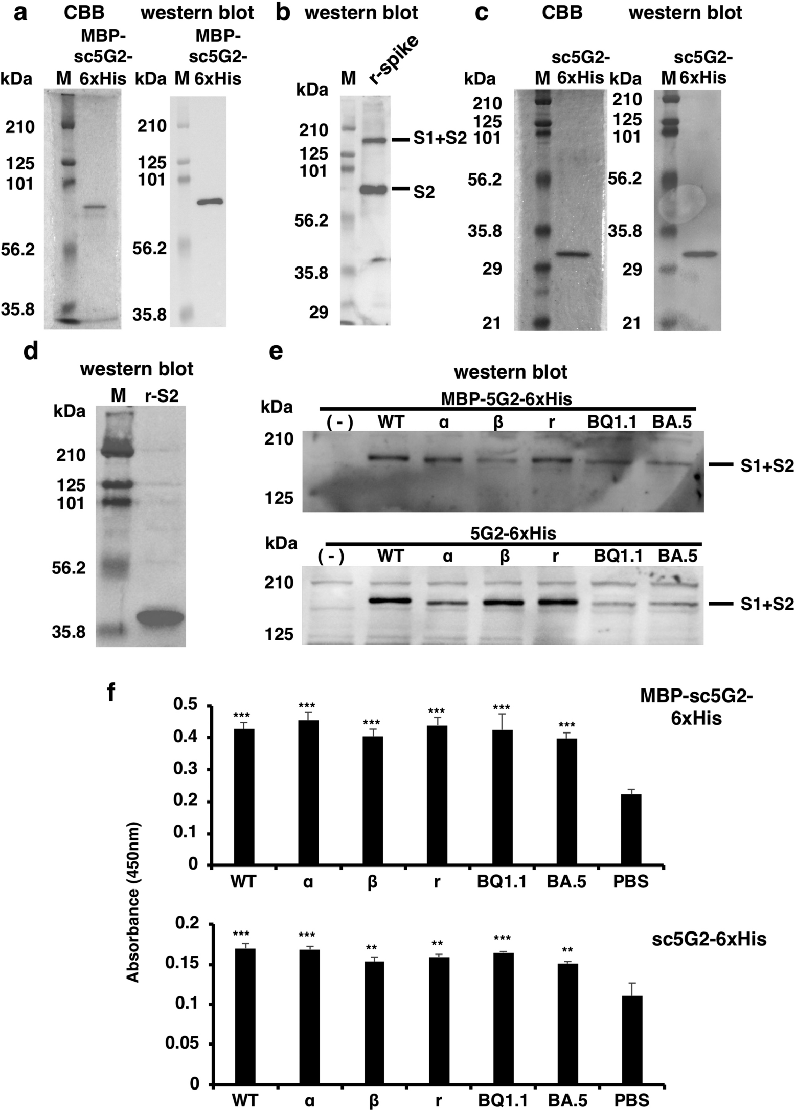
Figure 7

Production of sc5G2s by E. coli. (a) Refolded MBP-sc5G2-6xHis produced by E. coli was subjected to SDS-PAGE. The proteins were stained with CBB (left) and analyzed by western blot using anti-MBP antibody and anti-mIgG-HRP (right). M: Molecular weight marker. (b) MBP-sc5G2-6xHis (0.8 μg/mL) produced by E. coli was used to detect recombinant S1 + S2 and the S2 proteins by western blot as in (a). M: Molecular weight marker. (c) Refolded sc5G2-6xHis protein produced by E. coli was subjected to SDS-PAGE. The proteins were stained with CBB (left) and analyzed by western blot using anti-6xHis antibody and anti-mIgG-HRP (right). M: Molecular weight marker. (d) sc5G2-6xHis (0.8 μg/mL) produced by E. coli was used to detect the recombinant S2 subunit of the spike protein without 6xHis (r-S2) by western blot using anti-6xHis antibody and anti-mIgG-HRP. M: Molecular weight marker. (e) MBP-sc5G2-6xHis (0.8 μg/mL, top) and sc5G2-6xHis (0.8 μg/mL, bottom) produced by E. coli were used to detect the S1 + S2 of the spike proteins in the Vero cells infected with SARS-CoV-2 WT as well as the variants, α, β, γ, BQ1.1, and BA.5 by western blot using anti-MBP antibody (top) or anti-6xHis antibody (bottom) and anti-mIgG-HRP. (-): Vero cells only. M: Molecular weight marker. (f) MBP-sc5G2-6xHis (0.8 μg/mL, top) and sc5G2-6xHis (0.8 μg/mL, bottom) produced by E. coli was used to detect particles of SARS-CoV-2 WT as well as the variants, α, β, γ, BQ1.1, and BA.5 by ELISA. PBS: no virus coated. The data represent mean ± standard error (SE). The statistical significance was determined by one-way analysis of variance (one-way ANOVA). **P < 0.01, ***P < 0.001.