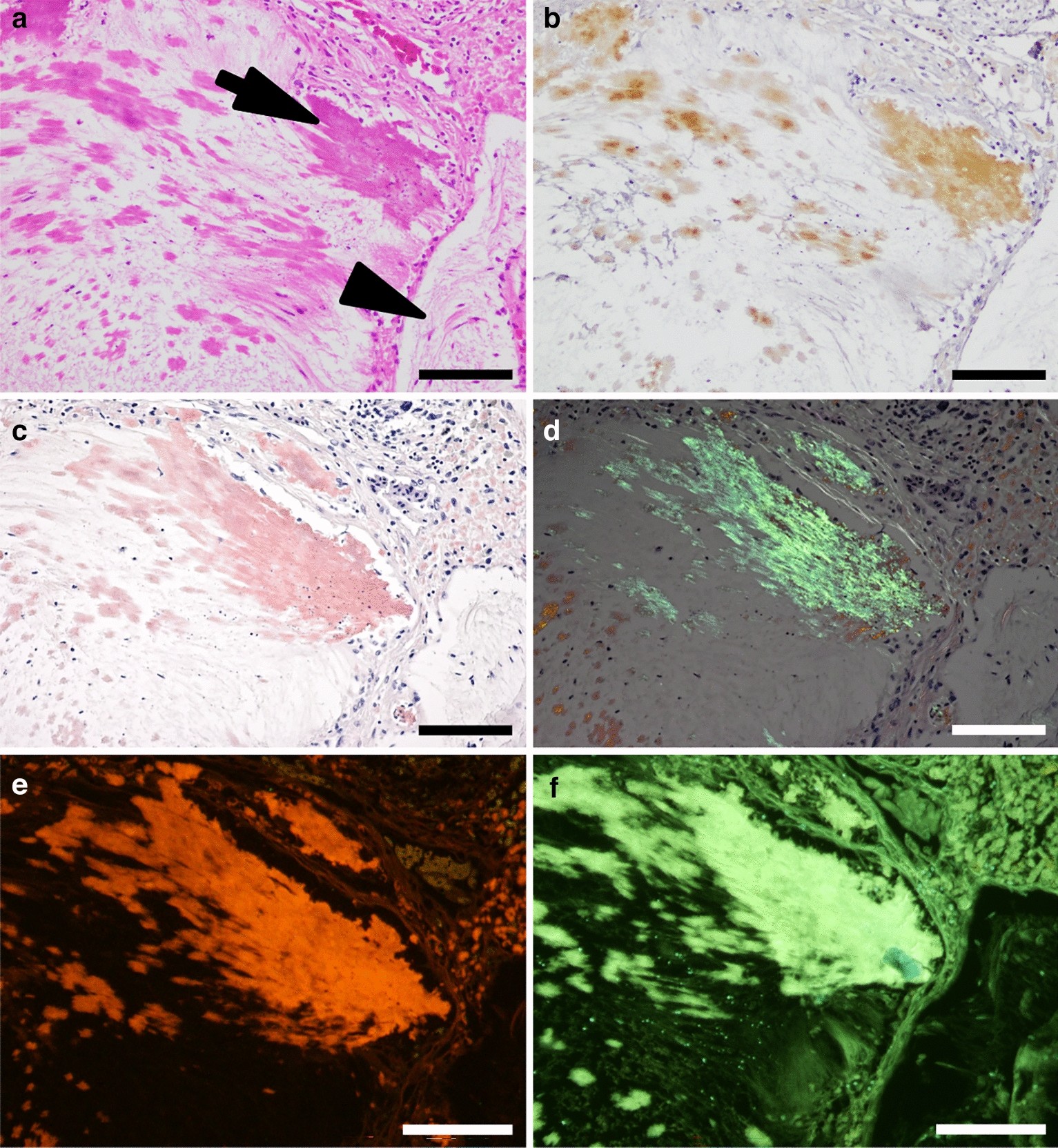
Figure 2

(a–f) Histopathological and immunohistochemical findings of amyloid deposits within cholesterol granulomas of a leopard gecko (Animal 5). Bars = 100 μm. (a) Homogeneous eosinophilic materials (arrows) are observed around the accumulation of cholesterol crystals (arrowhead) on hematoxylin and eosin staining. (b) Amyloid deposits are immunolabeled with anti-leopard gecko apolipoprotein E antibodies. (c) Amyloid deposits show positive staining for Congo red. (d) Congophilic areas exhibit yellow to green birefringence under polarized light. (e) The deposits on Congo red-stained specimen are strongly illuminated under fluorescence microscopy. (f) The deposits are positive for thioflavin S and exhibited strong pale-green fluorescence under blue-violet excitation.