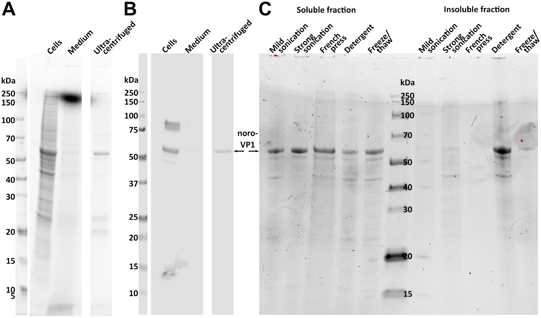
Figure 1

Optimization of plasmid-based noro-VLP expression. (A) Stain-free total protein staining of a test production of noro-VLP showing the cell fraction and a corresponding volume of medium after 5 days of expression. The third well has a sample of noro-VLP concentrated from the medium with ultracentrifugation. (B) A Western blot from the gel shown in A using an in-house polyclonal anti-noro-VLP antibody. (C) Stain-free total protein staining showing comparable samples of noro-VLP from a lysis method optimization experiment. The gels and blots were cropped for clarity. For full photos, see Supplementary Fig. 1.