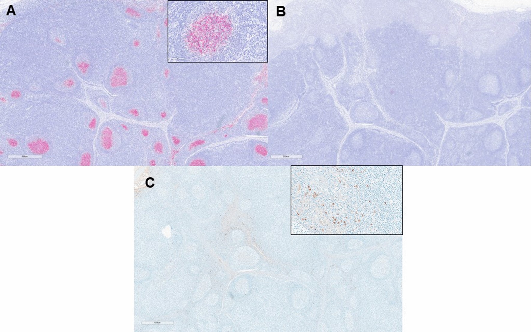
Figure 6

Direct detection of PCV4 in a PCV3/PRRSV coinfection case. PCV4 in situ by RNAscope (red staining) targeting transcribed ORF2 mRNA revealed viral replication in the germinal centers of lymph nodes (A). Meanwhile, the presence of PRRSV was confirmed by IHC, detecting viral antigen in the paracortical region of the lymph node (C). The presence of PCV3 was confirmed by qPCR; however, no PCV3 mRNA was detected in the lymph node by PCV3 RNAscope (B).