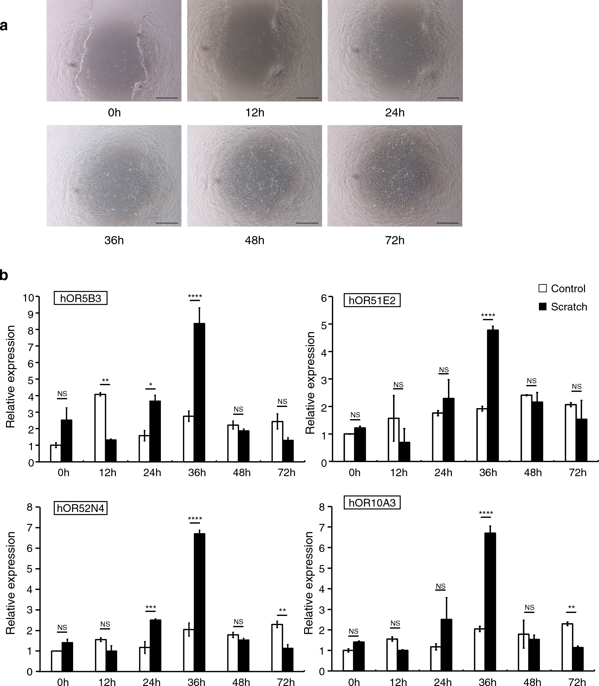
Figure 5

Time-course analysis of wound healing and olfactory receptor gene expression. (a) Images from a scratch assay at different time points. Human periodontal ligament fibroblasts were plated and wounded with a P1000 pipette tip. The width of the scratch decreased over time and was almost closed after 48–72 h. (Scale = 100 µm) (b) Olfactory receptor gene expression profiles over time during wound healing. NS, not significant; *P < 0.05, **P < 0.01, ***P < 0.001, ****P < 0.0001. Data are representative of three independent experiments.