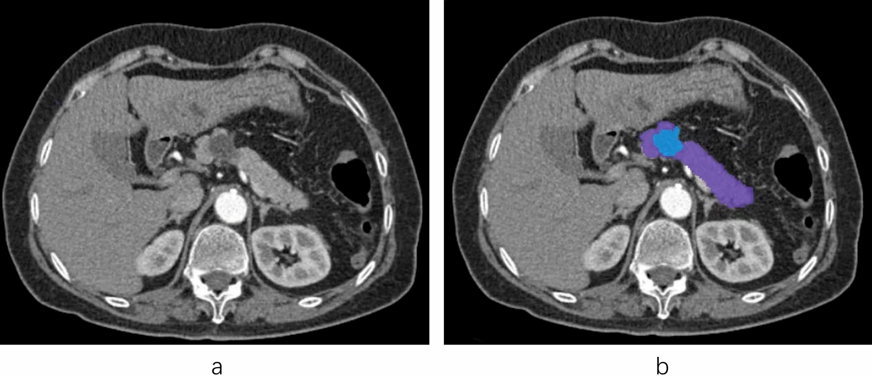
Figure 1

The segmentation of pancreatic lesion. (a) The arterial-phase enhance CT of pancreas (b) Blue part is the lesion region. Purple part is the remaining pancreatic region. The RIAS software extracts radiomic features by labeling the purple and blue areas.