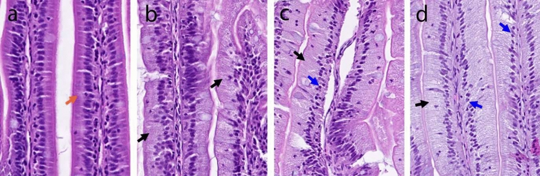
Figure 2

Representative images of the pyloric caeca mucosal folds showing a close-up appearance of the different scores for the enterocyte steatosis changes. a shows no enterocyte vacuolization (orange arrow) which is normal morphology, while images b, c, and d show enterocyte steatosis changes graded as moderate, marked, and severe, respectively. Black arrows in images b to d depict the lipid accumulation in the supranuclear space of the enterocytes while the blue arrow in images c and d show the progressive squashing of the enterocyte nuclei from the normal ellipsoid shape to a smaller and more spherical shape as intracellular lipid accumulation increases.