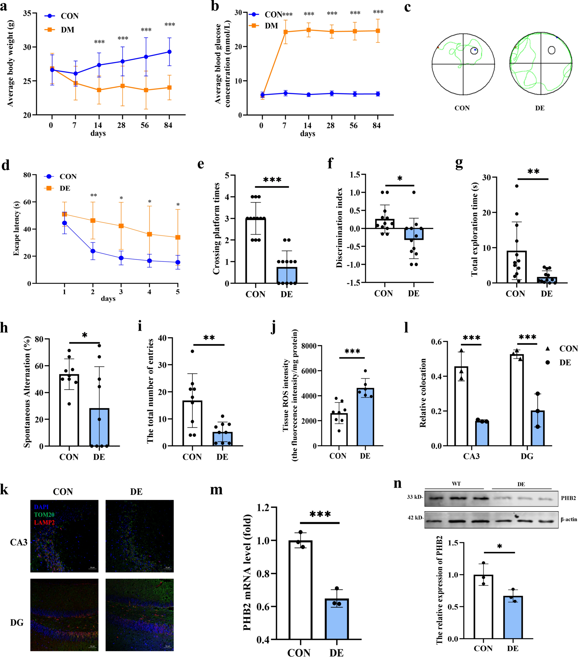
Figure 1

ROS generation, mitophagy level, and PHB2 expression in the hippocampus of DE mice. (a, b) The average BW (a) and BG levels (b) in the DE and CON groups (n = 14, 13). (c–e) The representative swimming paths (c), escape latencies during the training period (d), and platform crossing times (e) of the DE or CON groups in the MWM test (n = 12). (f, g) The DI (f) and total exploration time (g) of the DE and CON groups in the NOR test (n = 12). (h, i) The spontaneous alternation rate (h) and total number of arm entries (i) of the DE and CON groups in the Y-maze test (n = 9). (j) The ROS intensity in the hippocampus of the DE or CON groups was detected using BBoxiProbe ROS probe (n = 8, 6). (k, l) Representative immunofluorescence images (k) and relative co-locations (l) of TOM20 (green) and LAMP2 (red) in the CA3 and DG hippocampus regions of the CON and DE groups (scale bar = 50 μm, n = 3). (m, n) RT-PCR (m) and WB analysis (n) of PHB2 expression in the hippocampus of DE and CON groups (n = 3). The values are shown as the means ± SD. *P < 0.05, **P < 0.01, and ***P < 0.001 vs the CON group.