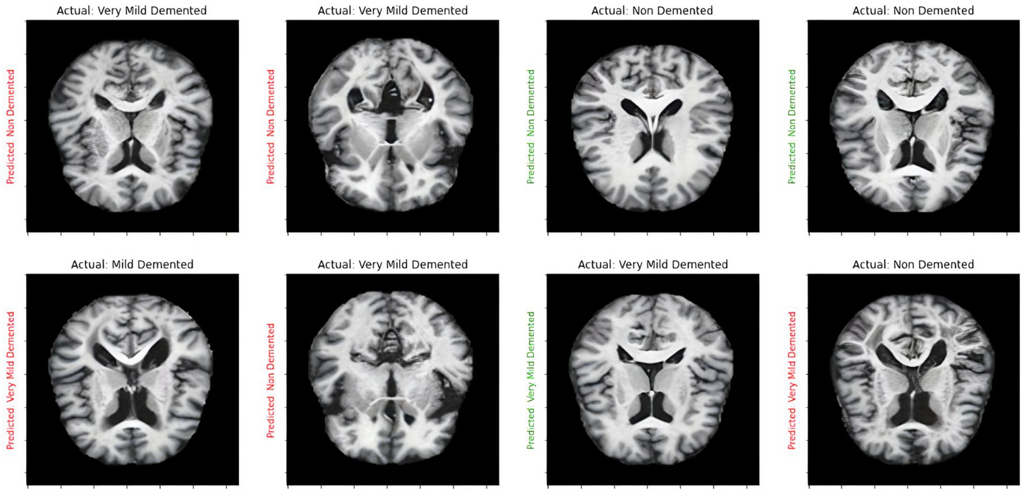
Figure 19
From: Revolutionizing healthcare: a comparative insight into deep learning’s role in medical imaging

Prediction result for ensembled model.
From: Revolutionizing healthcare: a comparative insight into deep learning’s role in medical imaging

Prediction result for ensembled model.