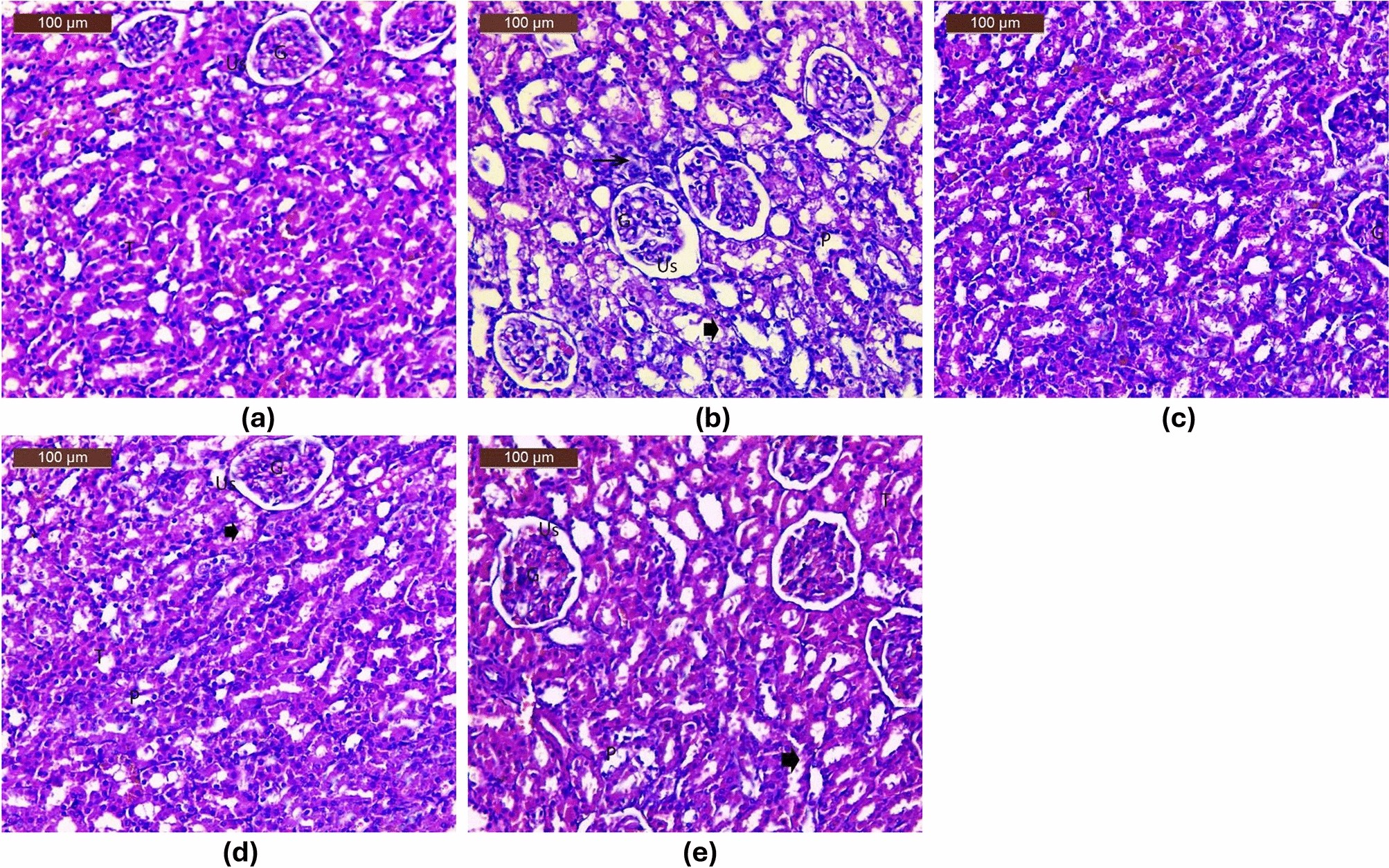
Fig. 9

Photomicrographs of H & E-stained histological sections of normal, Potassium dichromate (PDC)-intoxicated, standard and test drug treated rats’ kidney. (a) Normal control; (b) PDC (positive control); (c) PDC + blank niosomes; (d) PDC + F2 bilosomes, (e) PDC + free rutin, where glomerulus is symbolized as (G); urinary space (Us), tubules (T); tubular epithelial cell degeneration (arrowhead); pyknotic nuclei (P); mild inflammatory cells (arrow).