Fig. 5
From: The senolytic drug ABT-263 accelerates ovarian aging in older female mice

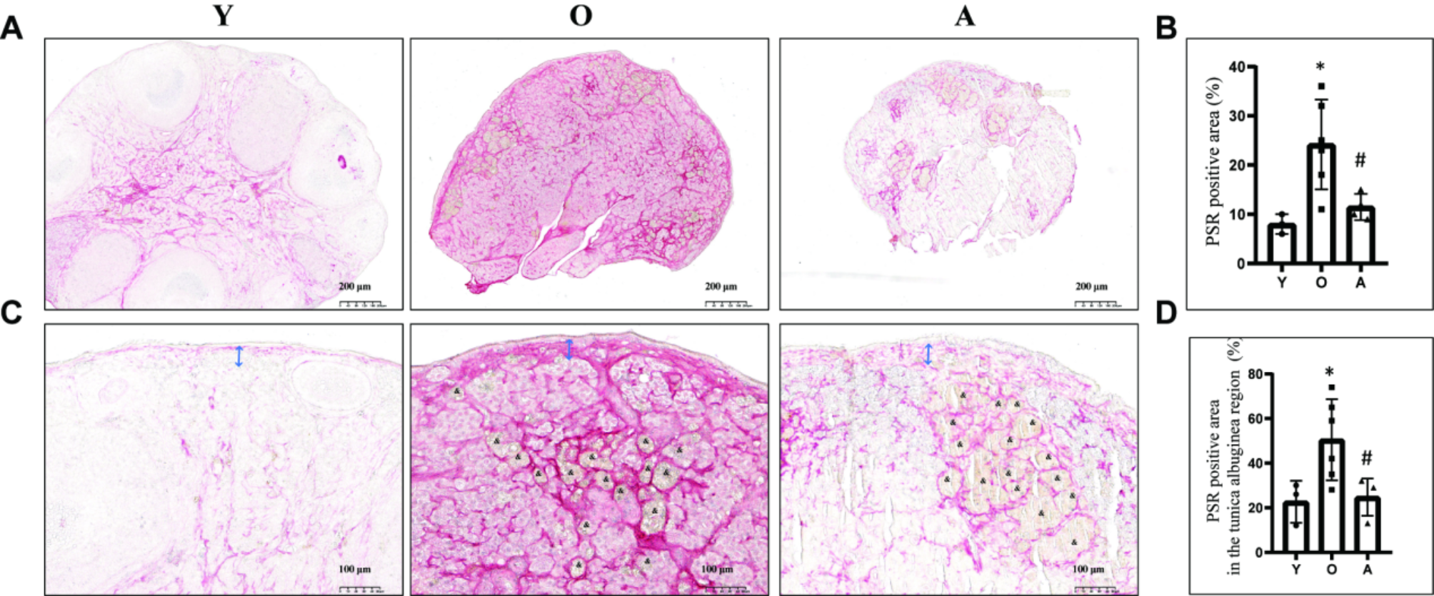
Effects of ABT-263 treatment on ovarian fibrosis in aged mice. (A) Representative images from ovarian sections stained with PSR. (B) Statistical analysis of the PSR-positive area in the whole ovarian section. n = 3 in the Y group, n = 6 in the O group, and n = 4 in the A group. (C) Representative images from ovarian sections stained with PSR showing tunica albuginea region. (D) Statistical analysis of the PSR-positive area in tunica albuginea region. n = 3 in the Y group, n = 6 in the O group, and n = 4 in the A group. & indicates MGCs. double arrow indicates tunica albuginea region. MGCs: multinucleated giant cells. Y: young group; O: old group; A: old group treated with ABT-263. Compared with the Y group: *P < 0.05; Compared with the O group: #P < 0.05.