Fig. 6

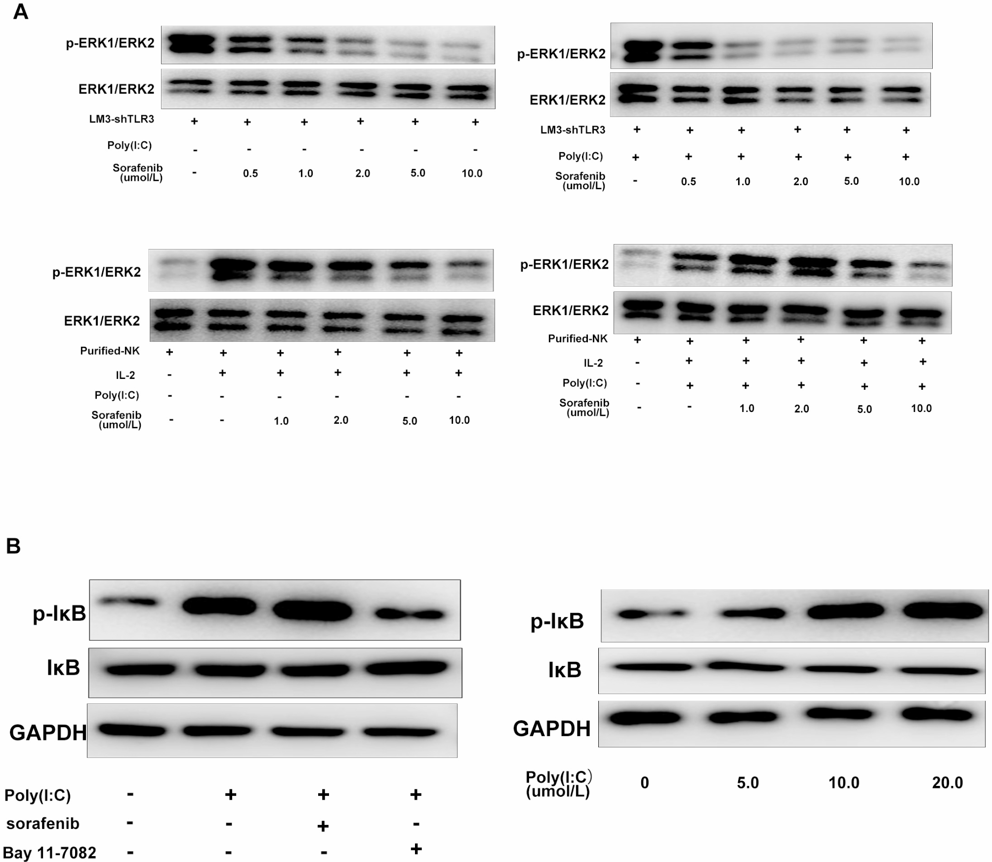
The ERK and NF-κB pathways are involved in the poly(I: C)-induced activation of NK cells. Poly(I: C) attenuated sorafenib-mediated inhibition of ERK1/2 phosphorylation in liver cancer cells (A) and isolated NK cells (B). Liver cancer LM3-shTLR3 cells (A) or isolated NK cells (B) were treated with sorafenib (10 µM) without or with poly(I: C) for 24 h. ERK1/2 phosphorylation was determined by Western blotting. Representative images are shown. (C) Sorafenib did not significantly affect poly(I: C)-induced IκB phosphorylation in isolated human NK cells treated with poly(I: C) with or without sorafenib (10 µM) for 24 h. IκB phosphorylation was determined by Western blotting.