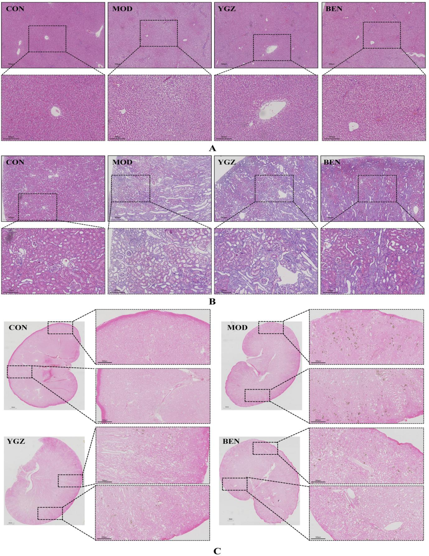
Fig. 4

Histopathological sections of liver and kidney. (A) H&E stain sections of liver (100×, scale bar 200 μm), (B) H&E stain sections of kidney (100 ×, scale bar 200 μm), (C) Gomori’s methenamine silver stain sections of kidney (40×, scale bar 500 μm). Supplementation with YGZ extract significantly reduced hepatocyte steatosis and swelling, diminished the expansion of renal tubular lesions and improved the interstitial atrophy, reduced the MSU crystals aggregates within the kidney tissue.