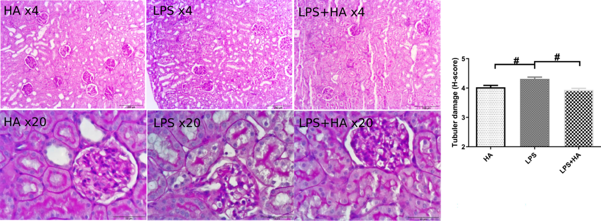
Fig. 5

Representative renal histological images (Panel A-B-C with X 4 magnification-bar = 250μm, and D-E-F with X 20 magnification-bar = 50μm) and tubular damage score. Values are represented as Mean ± SE. #p < 0.05 vs. other groups.

Representative renal histological images (Panel A-B-C with X 4 magnification-bar = 250μm, and D-E-F with X 20 magnification-bar = 50μm) and tubular damage score. Values are represented as Mean ± SE. #p < 0.05 vs. other groups.