Fig. 4

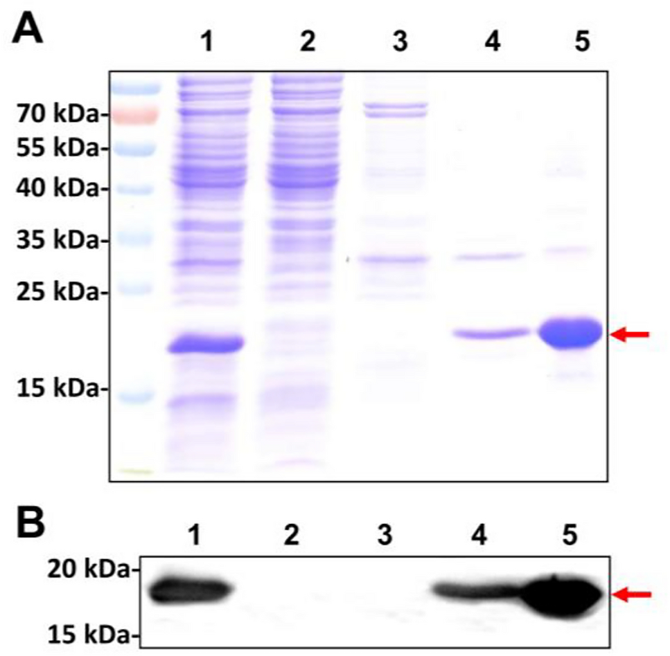
Purification and identification of fusion protein TAT-CcSOD1. (A) SDS-PAGE analysis of the samples obtained during protein purification. (B) Western blot analysis of the samples obtained during protein purification. Lane 1, supernatant of sonicated lysates after induction; lane 2, the flow through peak; lane 3–5, the eluted peaks under 15%, 30% and 50% elution buffer (20 mM NaH2PO4, 500 mM NaCl, 500 mM imidazole, pH 7.4), respectively. The position corresponding to TAT-CcSOD1 protein is indicated by red arrow.