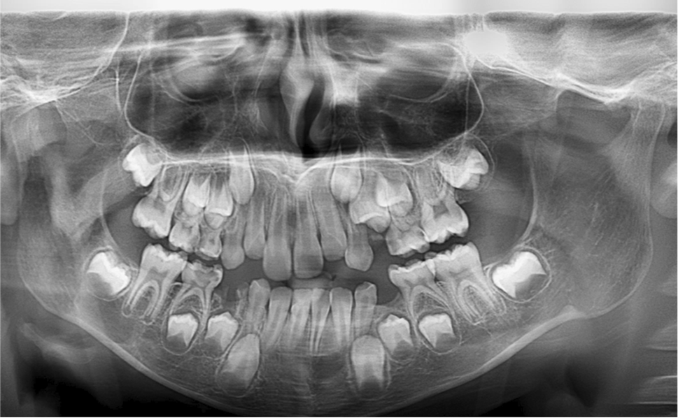
Fig. 1
From: Age estimation using dental and hand-wrist radiography among a sample of Egyptian children

Panoramic image of male patient (Age 8 years and 6 months) Age according to Willem’s method is 8.02 years. Age according to Cameriere’s method is 7.05 years.