Fig. 5
From: Early activity after strong sutures helps to tendon healing in a rat tendon rupture model

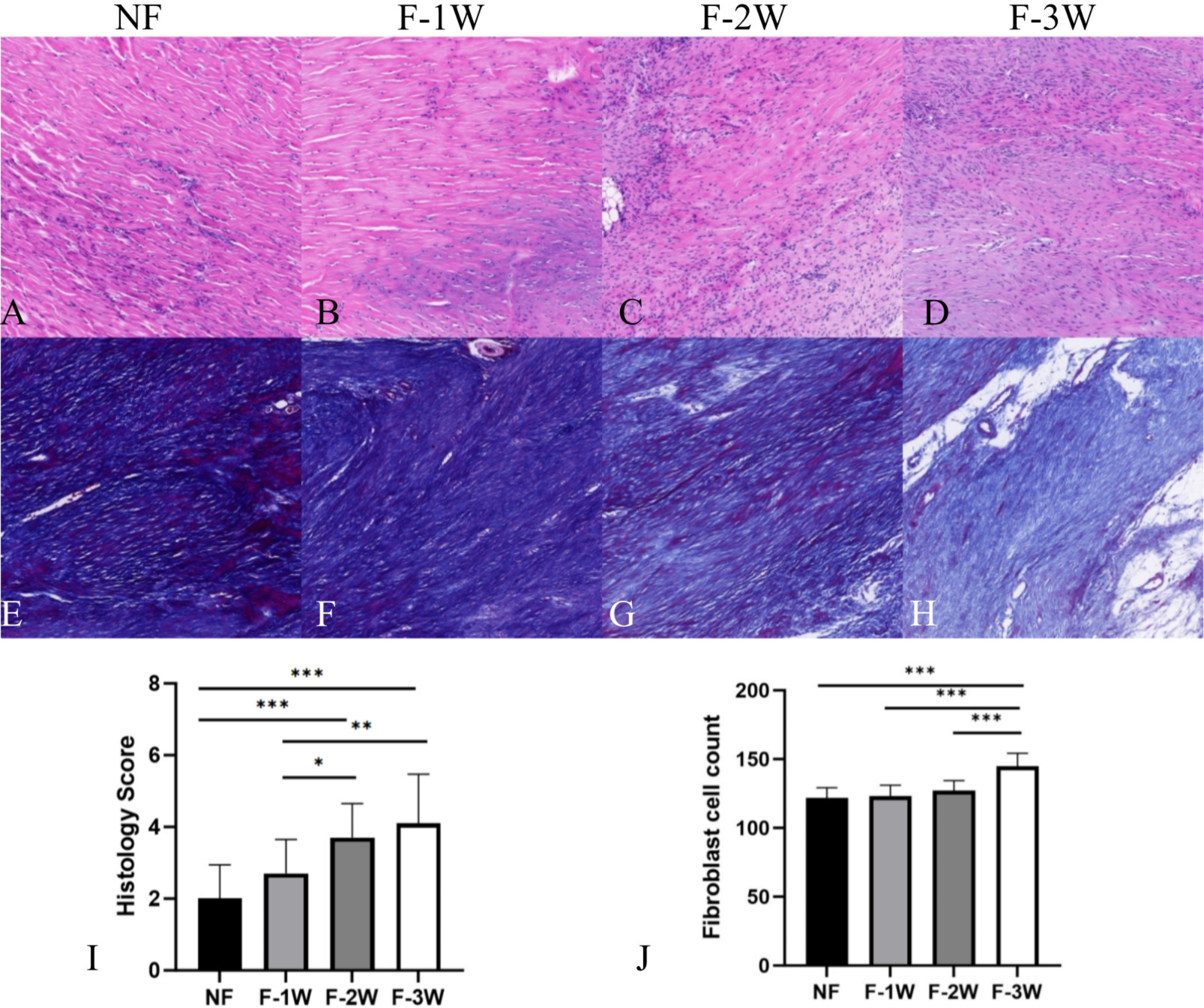
The HE and Masson staining results and quantitation. (A-D) HE staining microscopic observation of each group. (E-H) Masson staining microscopic observation of each group. (I) Comparison of the count of fibroblasts in each group. (J) Comparison of the histology score in each group. *P<0.05, **P<0.01, ***P<0.001, ****P<0.0001.