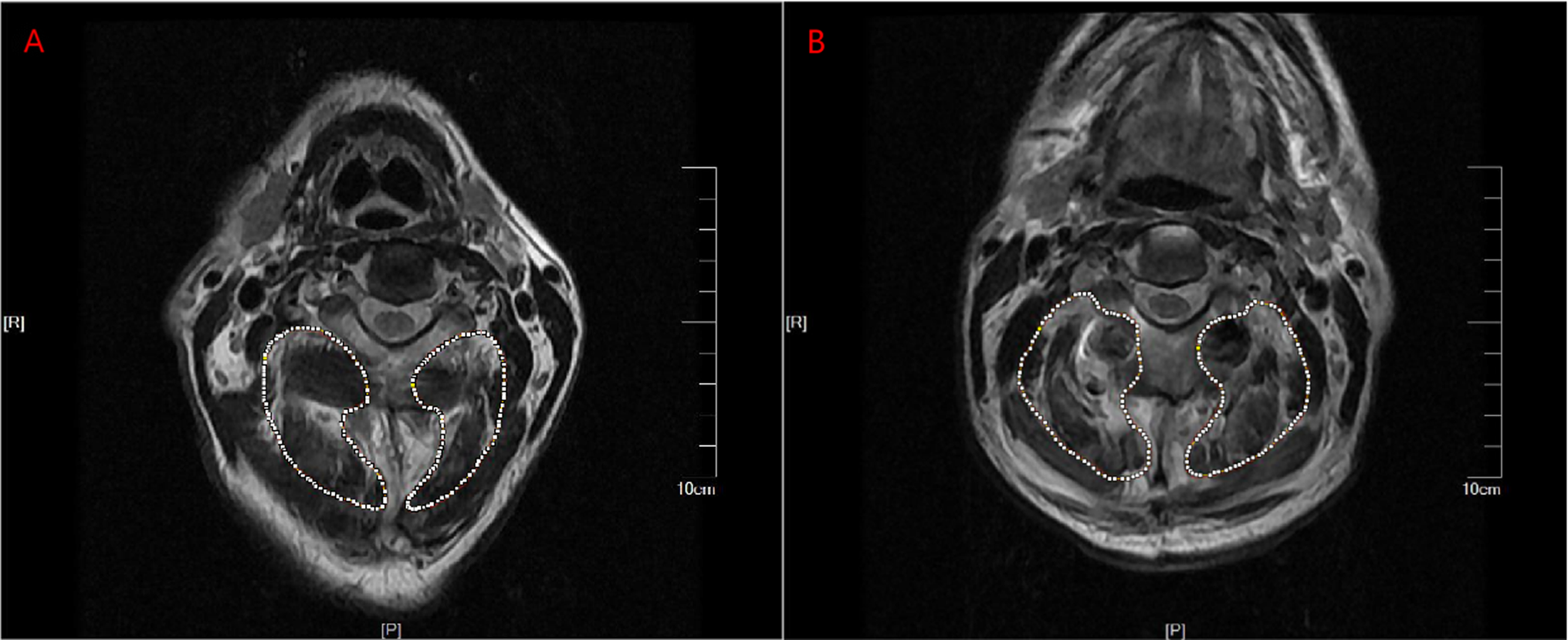
Fig. 2

Schematic representation of preoperative and postoperative measurements on the cross-sectional area (CSA) of the paravertebral tissue. The CSA of the paravertebral tissue was defined as the area circled by the dotted line. The measurement range of CSA after operation was consistent with that before operation. The postoperative CSA of the paraspinal tissues at the level of C2 spinous process on both sides (the area circled by dotted lines) (B) was significantly larger than the preoperative CSA (A).