Fig. 1
From: Atrophic meibomian gland dysfunction induced by eyelid margin cryotherapy with liquid nitrogen

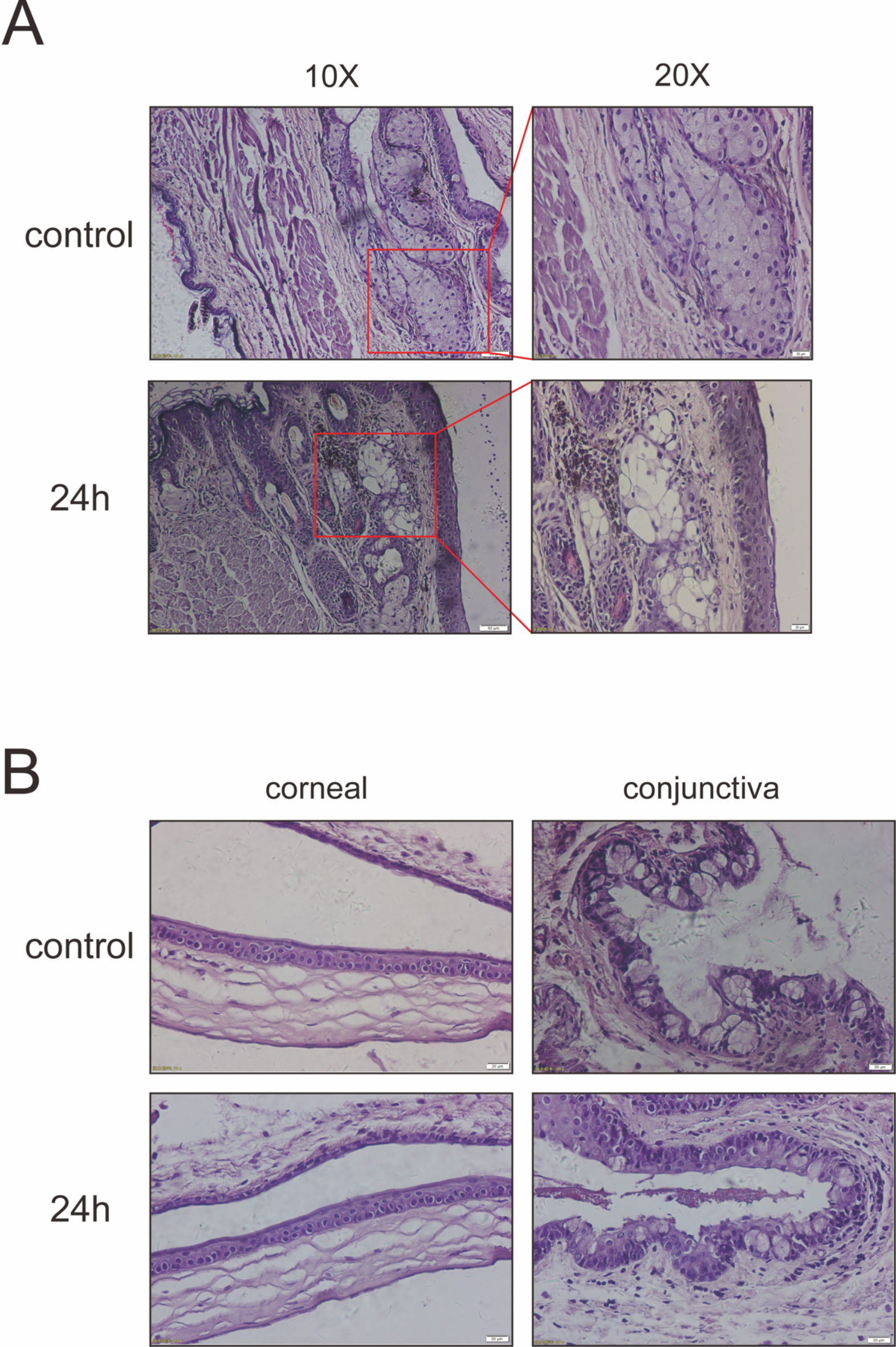
Assessment of Meibomian acinar cells and Cornea within 24 h following liquid nitrogen Injury to the Eyelid Margin. (A) Representative H&E staining showing the eyelids of uninjured, 24 h post liquid nitrogen injury mouse. Panes indicate meibomian acinar cells, specifically ruptured meibomian acinar cells after liquid nitrogen treatment. Scale bars represent 50 μm and 20 μm (n = 3). (B) Representative H&E staining of corneas and conjunctiva show no significant damage and no increase of cell infiltration in the corneal stroma after the eyelid margin liquid nitrogen injury. Scale bars represent 20 μm (n = 3).