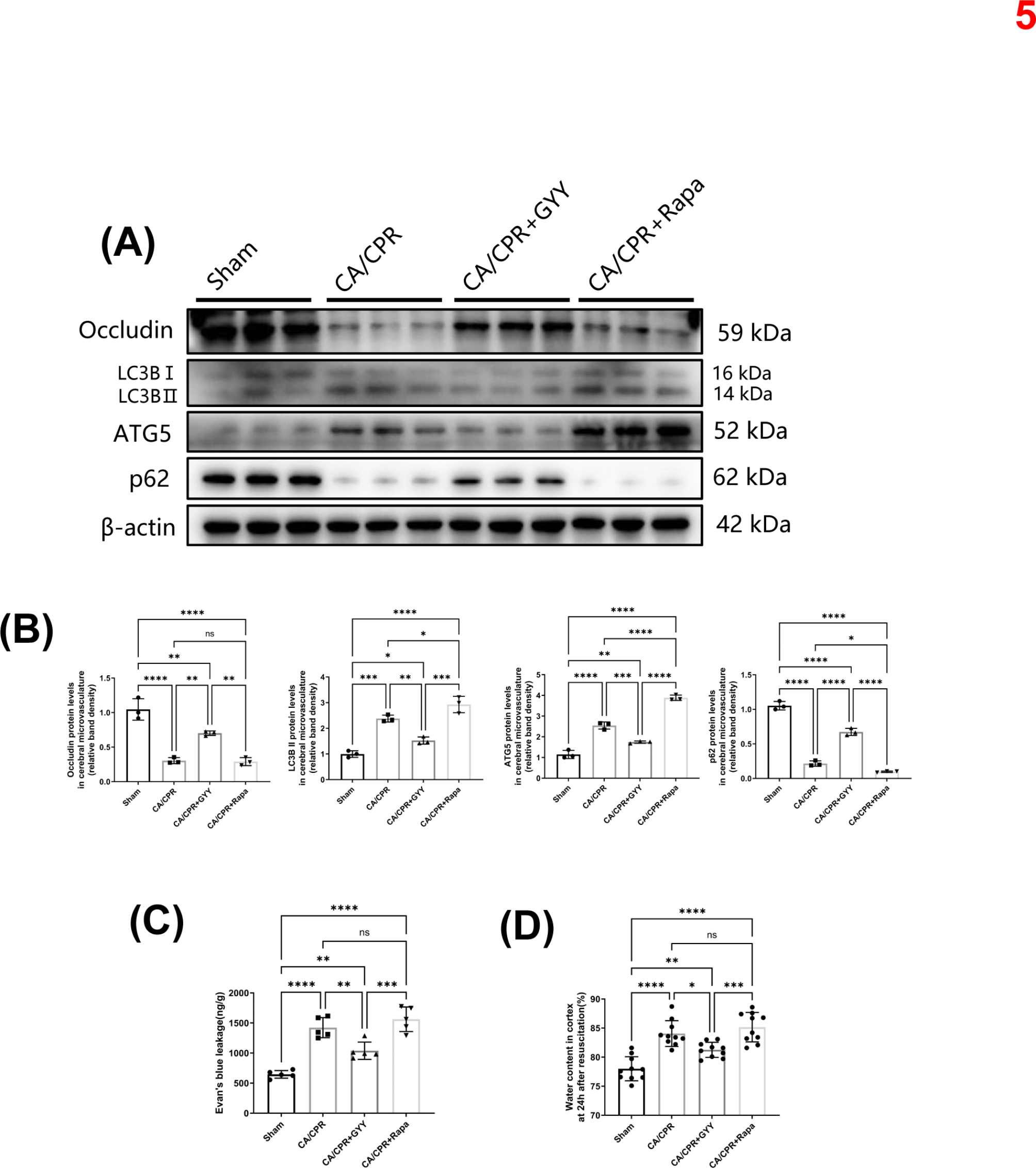
Fig. 5

Rapamycin did not further exacerbate the decrease of occludin protein and BBB damage in mice after CA/CPR. (A) Representative immunoblot images and (B) quantitation of occludin, LC3B II, ATG5 and p62 in cerebral microvessels of mice in Sham, CA/CPR, CA/CPR + GYY, and CA/CPR + Rapa groups at 24 h after ROSC. β-actin was used as the protein loading control. The images of western blot data derived from triplicate blots conducted as three independent experiments. (B: occludin: P < 0.0001, F = 51.56; LC3B II: P < 0.0001, F = 56.67; ATG5: P < 0.0001, F = 189.9; p62: P < 0.0001, F = 285.6). (C) BBB permeability evaluated using EB at 24 h after ROSC. (C: P < 0.0001, F = 35.97). (D) Brain water content of mice in Sham, CA/CPR, CA/CPR + GYY, and CA + Rapa groups at 24 h after ROSC. (D: P < 0.0001, F = 23.62). The data are the means ± SD. n ≥ 3. *P < 0.05; **P < 0.01; ***P < 0.001; ****P < 0.0001.