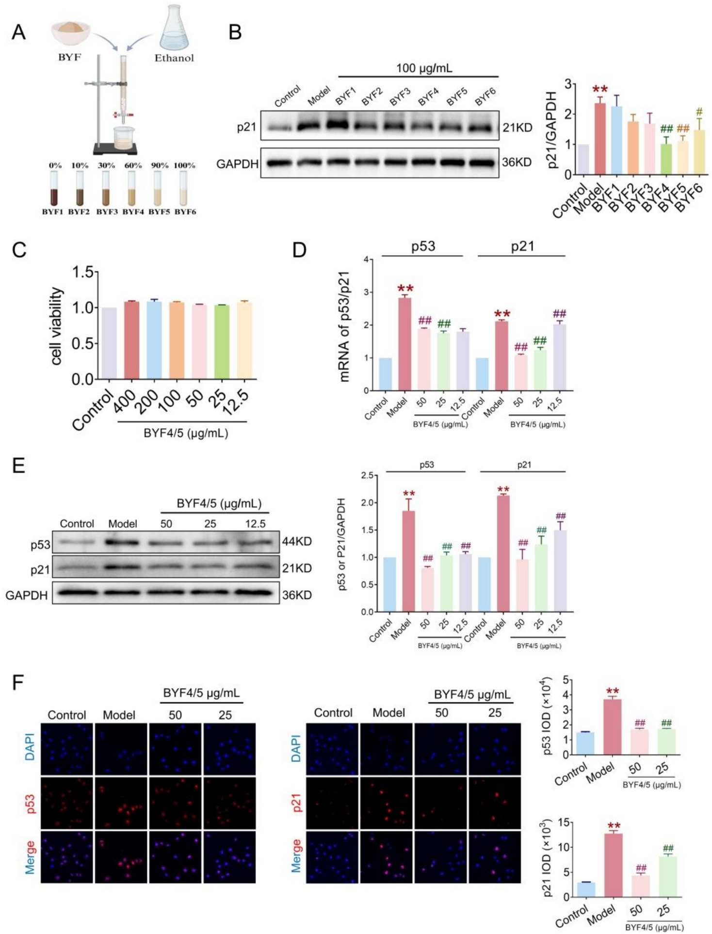
Fig. 6

Effect of Bufei Yishen formula 1 ~ 6 on cigarette smoke extract (CSE)- and LPS-induced 16-HBE cells. (A) Flow chart of BYF isolation. (B) Protein levels of p21 in BYF1-6-treated 16-HBE cells induced by CSE/LPS. (C) The impact of BYF4/5 on cell viability (D) The mRNA levels of p53 and p21. (E) Protein levels of p53 and p21 in BYF4/5-treated 16-HBE cells induced by CSE/LPS. (F) The protein levels of p53 and p21 in 16HBE cells were detected by immunofluorescence staining. Values are expressed as the mean ± SEM (n = 3), *P < 0.05, **P < 0.01 compared with the control group; #P < 0.05, ##P < 0.01 compared with the model group.