Fig. 1

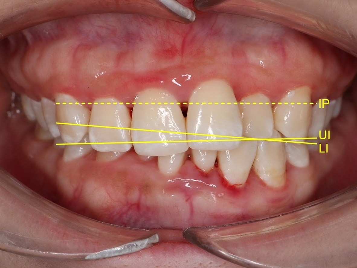
Pretreatment cant of the lower incisal plane (LI) relative to the upper incisal plane (UI) and asymmetric overbite. Ideally, both the upper incisal plane and the lower incisal plane should be parallel to the interpupillary line (IP).

Pretreatment cant of the lower incisal plane (LI) relative to the upper incisal plane (UI) and asymmetric overbite. Ideally, both the upper incisal plane and the lower incisal plane should be parallel to the interpupillary line (IP).