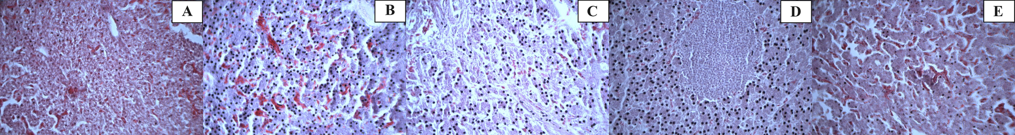
Fig. 1

Light micrographs of broiler chicken liver tissues (hematoxylin and eosin stain, H&E). (a) presence of vacuoles (40×); (b) presence of congestions (40×); (c) presence of fibrosis (40×); (d) presence of necrosis (40 ×); (e) presence of parenchymal eclipse (40×).