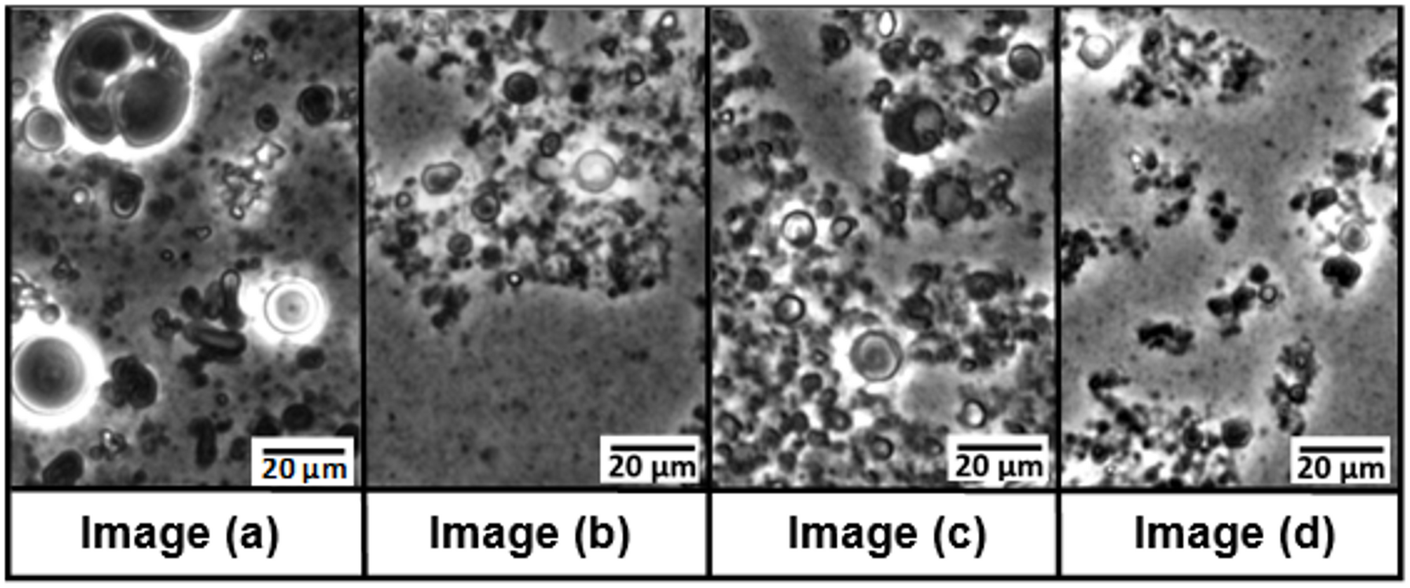
Fig. 8

Microscopic images of exogenous surfactant. Fresh, non-atomized exogenous surfactant (image a) and atomized with Endosurf devices (1), (2) and (3) (images b, c and d). The images were taken with the Olympus IX73 microscope with phase contrast and processed with ImageJ Fiji software (magnification ×60, scale bar = 20 μm).