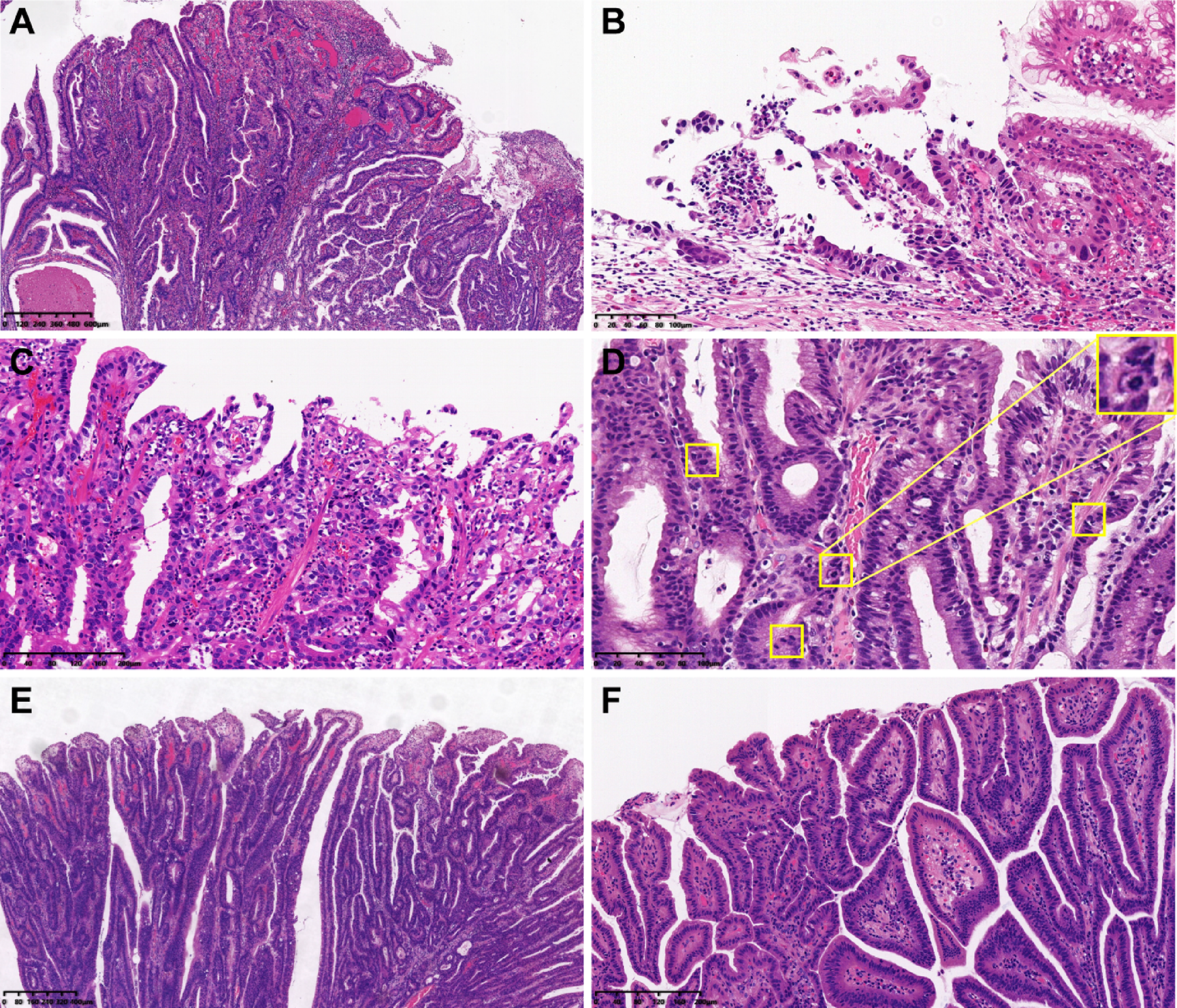
Fig. 2
From: Clinicopathological features and mucin expression of early papillary gastric adenocarcinoma

Differences in histopathologic features between high-grade and low-grade EPGA. (A–D) Histopathological features of high-grade EPGA. (A) At low power field, high-grade EPGA displays complex villiform, papillary, serrated, and cleft-like structures with free-floating cell clusters on the surface and focal luminal necrosis. (B) At high power field, distinct single cells or small clusters of tumor cells are observed floating within glandular lumina or on the mucosal surface. (C) The nuclei are notably enlarged, hyperchromatic, and polymorphic, with prominent nucleoli; occasional tumor giant cells are also present. (D) Numerous mitotic figures are evident (yellow frames). (E, F) Histopathological features of low-grade EPGA. (E) At low power field, low-grade EPGA exhibits villiform papillary structures without complex serrated architecture or gland necrosis. (F) At high power field, there are no free-floating cell clusters on the surface. The tumor cells exhibit mild atypia, with slightly disordered polarity and infrequent mitotic figures.