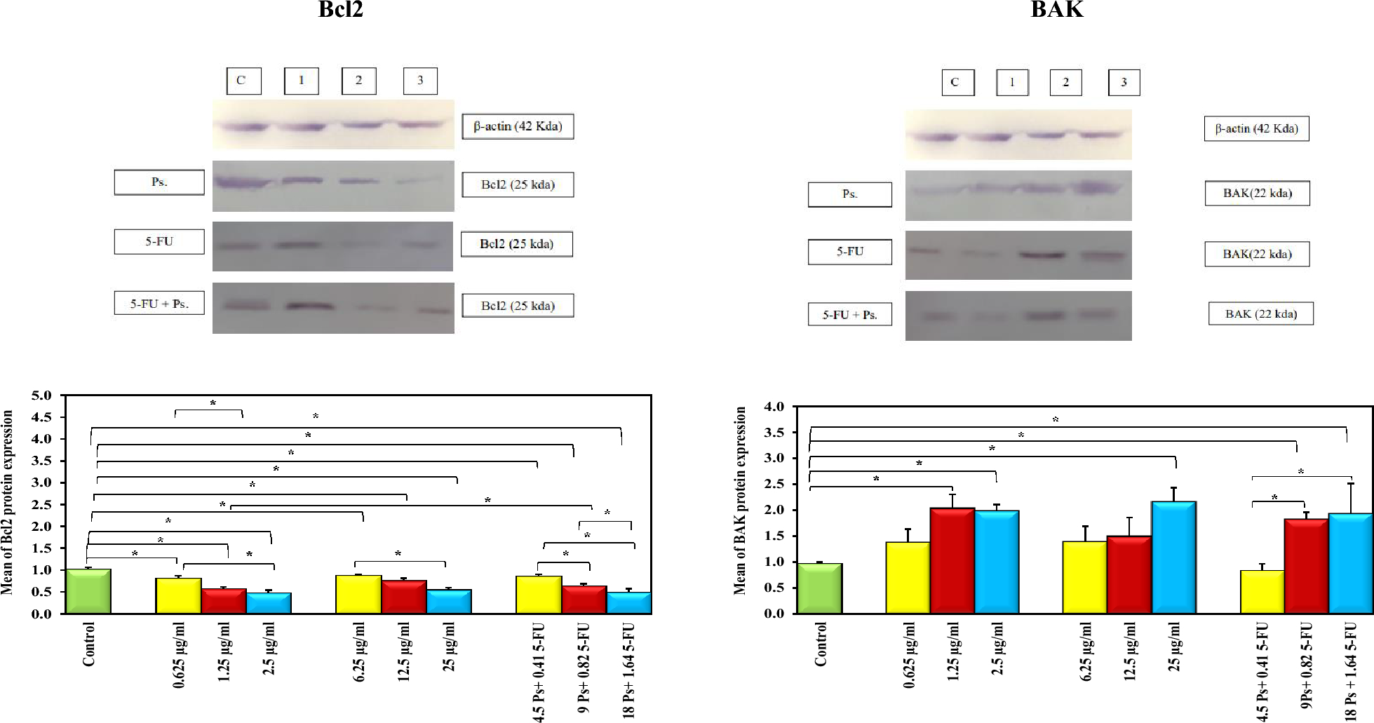
Fig. 12

Bar chart representing the effect of 5-FU and/or Ps extract on protein level of Bcl2 and BAK. Where; C: Control (untreated HepG-2 cells), 1: 0.25 IC50, 2: 0.5 IC50, 3: IC50. *: Statistically significant at p ≤ 0.05.

Bar chart representing the effect of 5-FU and/or Ps extract on protein level of Bcl2 and BAK. Where; C: Control (untreated HepG-2 cells), 1: 0.25 IC50, 2: 0.5 IC50, 3: IC50. *: Statistically significant at p ≤ 0.05.