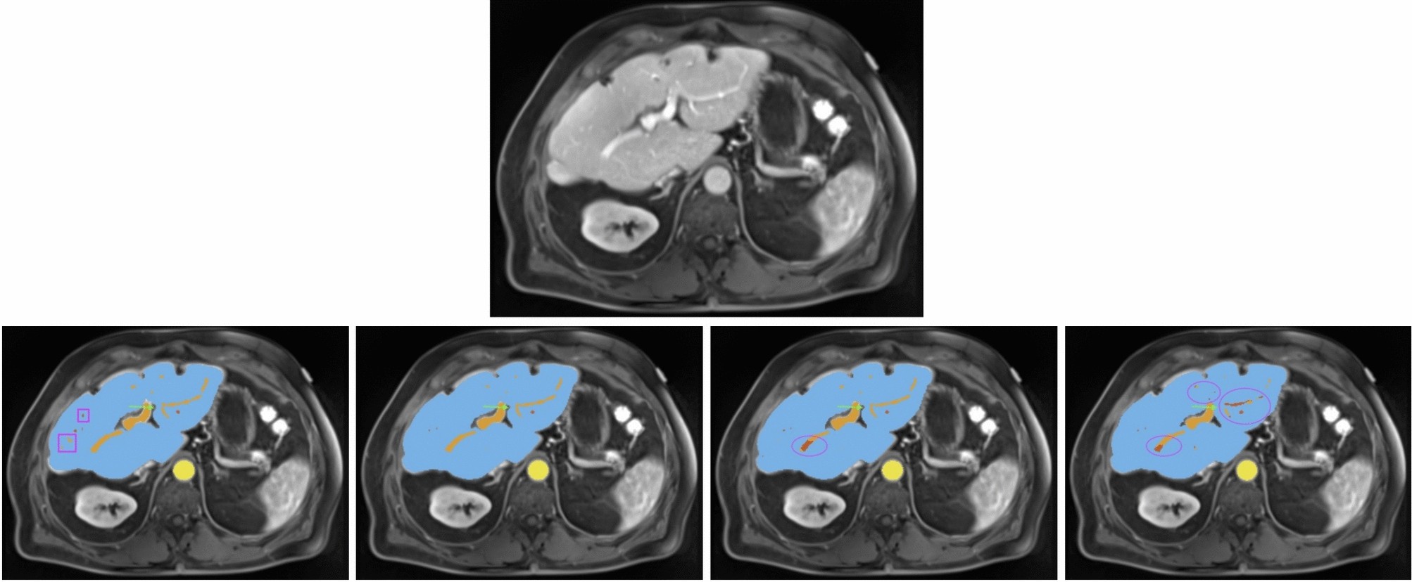
Fig. 3

All images show the same axial section of a patient with liver disease for the portalvenous phase. First row is the given image with no annotations. Labels in the other images are blue (liver), orange (portal vein), red (hepatic vein) and yellow (abdominal aorta). The bottom row from left to right depicts the ground-truth annotations, standard nnU-Net’s, ResEnc nnU-Net’s and SWIN UNETR’s segmentations. Arrows and ellipses highlight major differences between the segmentations from the models and the ground-truth annotations. The pink rectangular boxes show hepatic and portal veins in the ground-truth annotations that all of the architectures missed.