Fig. 2
From: Unraveling chain specific ubiquitination in cells using tandem ubiquitin binding entities

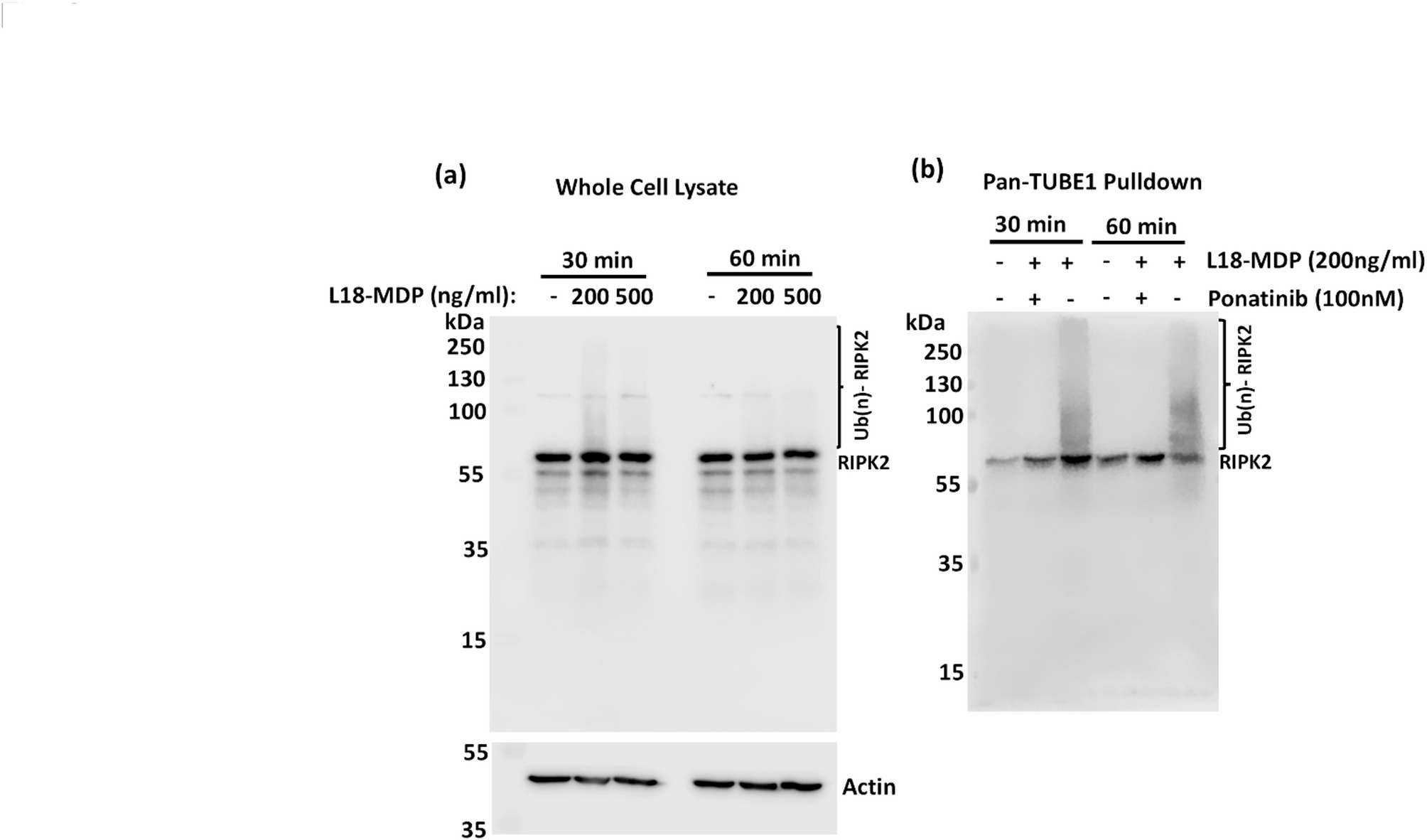
L18-MDP induces RIPK2 polyubiquitination and Ponatinib inhibits RIPK2 Activation in THP1 Cells. (a) RIPK2 expression and ubiquitination were analyzed following L18-MDP (200 ng/ml and 500 ng/ml) treatment for 30 and 60 min. Cell lysates were probed with anti-RIPK2 antibody. GAPDH was used as a loading control. Original western blot images are presented in Supplementary Fig. 2. (b) Cells were pre-treated with 100 nM Ponatinib followed by stimulation with L18-MDP (200 ng/ml) for 30 min and 60 min. Cell lysates were subjected to Pan-selective TUBE pull down. Pull down samples were separated on SDS-PAGE and probed with anti-RIPK2 antibody.