Fig. 6
From: Unraveling chain specific ubiquitination in cells using tandem ubiquitin binding entities

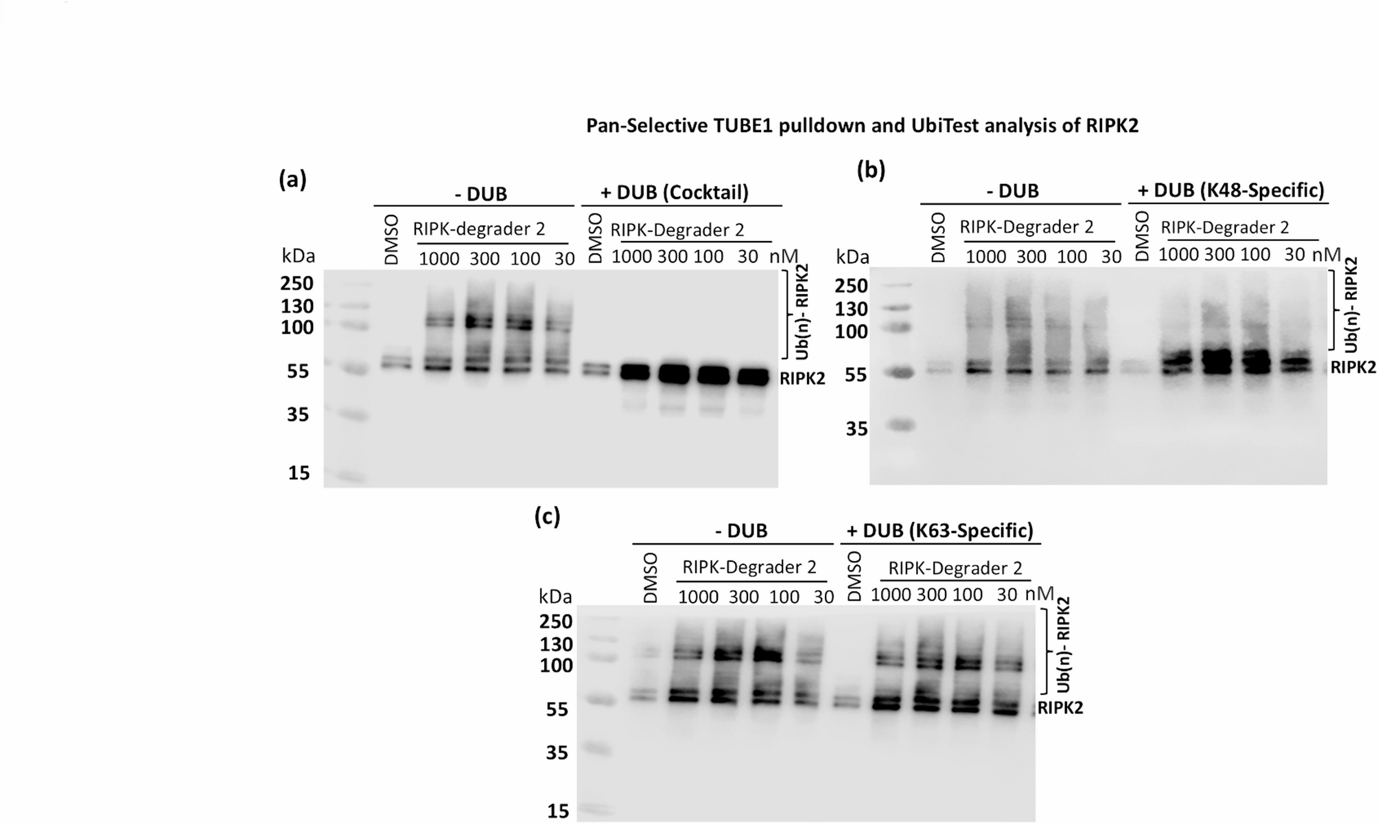
UbiTest analysis of RIPK Degrader-2 mediated ubiquitination of RIPK2. K562 cells were pre-treated with MG-132 (1.0 µM) for 60 min followed by treatment with DMSO (vehicle control) or indicated doses of RIPK degrader-2 for 45 min. Cell lysates (1.5 mg from each treatment condition) were incubated with pan-selective TUBE magnetic beads for overnight at 4 °C. Polyubiquitinated proteins were eluted from the beads, neutralized and incubated in the absence or presence of indicated DUBs (LifeSensors). (a) Treatment of samples with a cocktail of DUBs, (b) treatment with K48-selective DUB and (c) treatment with K63-selective DUB. After incubation with the DUBs, samples were separated on SDS-PAGE and probed with anti-RIPK2 antibody (n = 2). Original western blot images are presented in Supplementary Fig. 6.