Fig. 1
From: Analysis of advanced diffusion models assessing white matter microstructure in Alzheimer’s disease

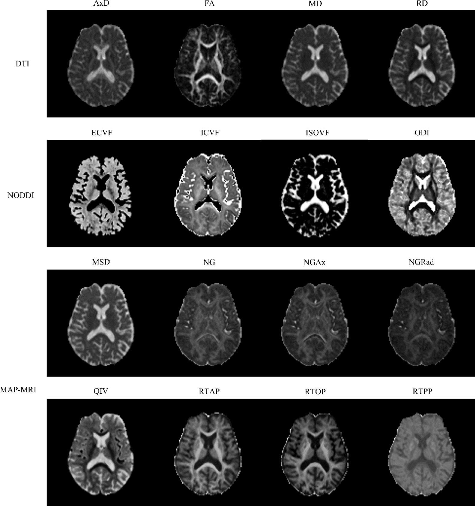
Comparison of three diffusion MRI maps revealing brain microstructure. The top image presents DTI parameters, including axial diffusivity (AxD), fractional anisotropy (FA), mean diffusivity (MD), and radial diffusivity (RD). The middle image displays NODDI parameters: extracellular volume fraction (ECVF), intracellular volume fraction (ICVF), isotropi volume fraction (ISOVF), and orientation dispersion index (ODI). The botto image shows MAP-MRI parameters: mean squared displacement (MSD), non-Gaussianity (NG), axial non-Gaussianity (NGAx), radial Non-Gaussianity (NGRad), Q-space inverse variance (QIV), return-to-axis probability (RTAP), return-to-origin probability (RTOP), and return-to-plane probability (RTPP). Each parameter map reveals specific aspects of brain tissue microstructure.