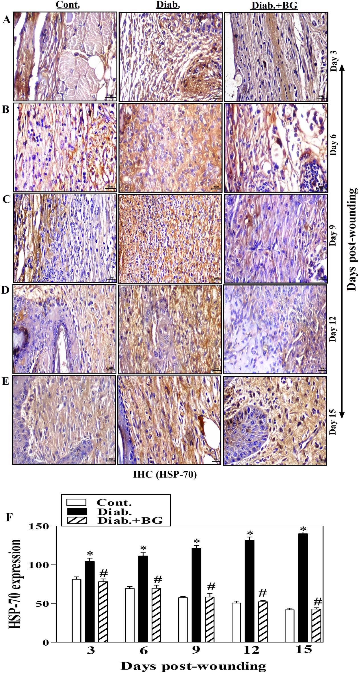
Fig. 4

Impact of BG treatment on the expression of HSP-70 in wounded skin tissues diabetic mice. HSP-70 staining of (A) Day-3; (B) Day-6; (C) Day-9; (D) Day-12; (E) Day-15 wounds; and (F) quantification of HSP-70 expression (400\(\times\)) (n = 6 wounds from 3 animals/time point/each group).