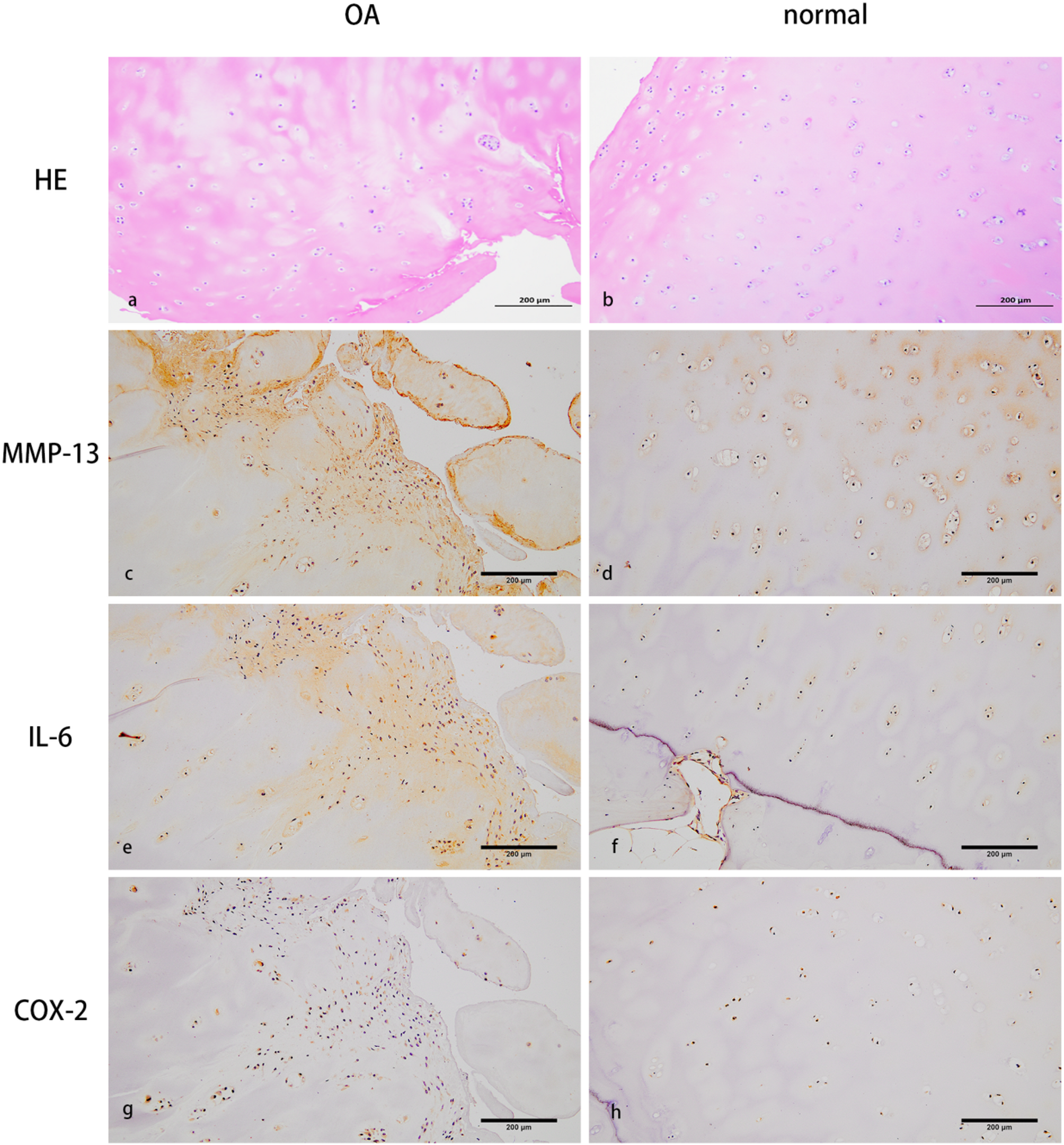
Fig. 9

a: HE staining in the OA group (×100); b: HE staining in the normal group (×100); c: MMP-13 expression in the OA group (×100); d: MMP-13 expression in the normal group (×100); e: IL-6 expression in the OA group (×100); f: IL-6 expression in the normal group (×100); g: COX-2 expression in the OA group (×100); h: COX-2 expression in the normal group (×100).