Fig. 6
From: Preliminary study on the neural mechanisms of four tone recognition in deaf children using fMRI

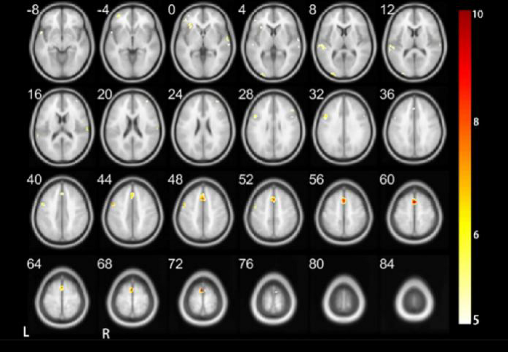
Results of DC when performing the tone three task.
From: Preliminary study on the neural mechanisms of four tone recognition in deaf children using fMRI

Results of DC when performing the tone three task.