Fig. 1
From: The effect of hemoglobin level in early life on periventricular leukomalacia: a case control study

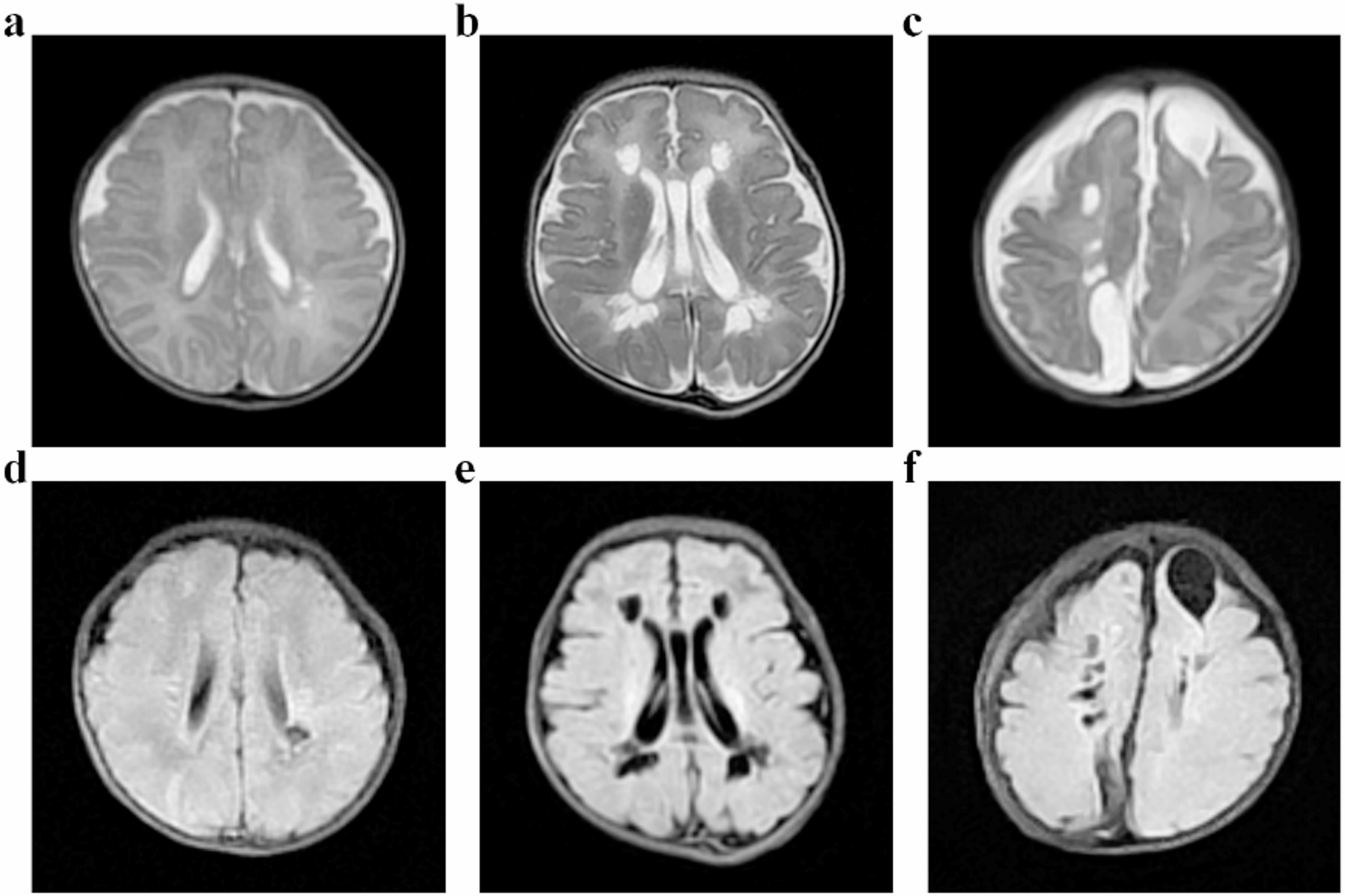
Three grades of PVL on head MRI. (a). Grade I: local changes in the small capsule cavity around the ventricle (T2WI). (b). Grade II: extensive cystic changes around the ventricle, which could be fused into pieces (T2WI). (c). Grade III: cystic changes in the periventricular and subcortical white matter (T2WI). (d). Grade I: local changes in the small capsule cavity around the ventricle (T2 Flair). (e). Grade II: extensive cystic changes around the ventricle, which could be fused into pieces (T2 Flair). (f). Grade III: cystic changes in the periventricular and subcortical white matter (T2 Flair).