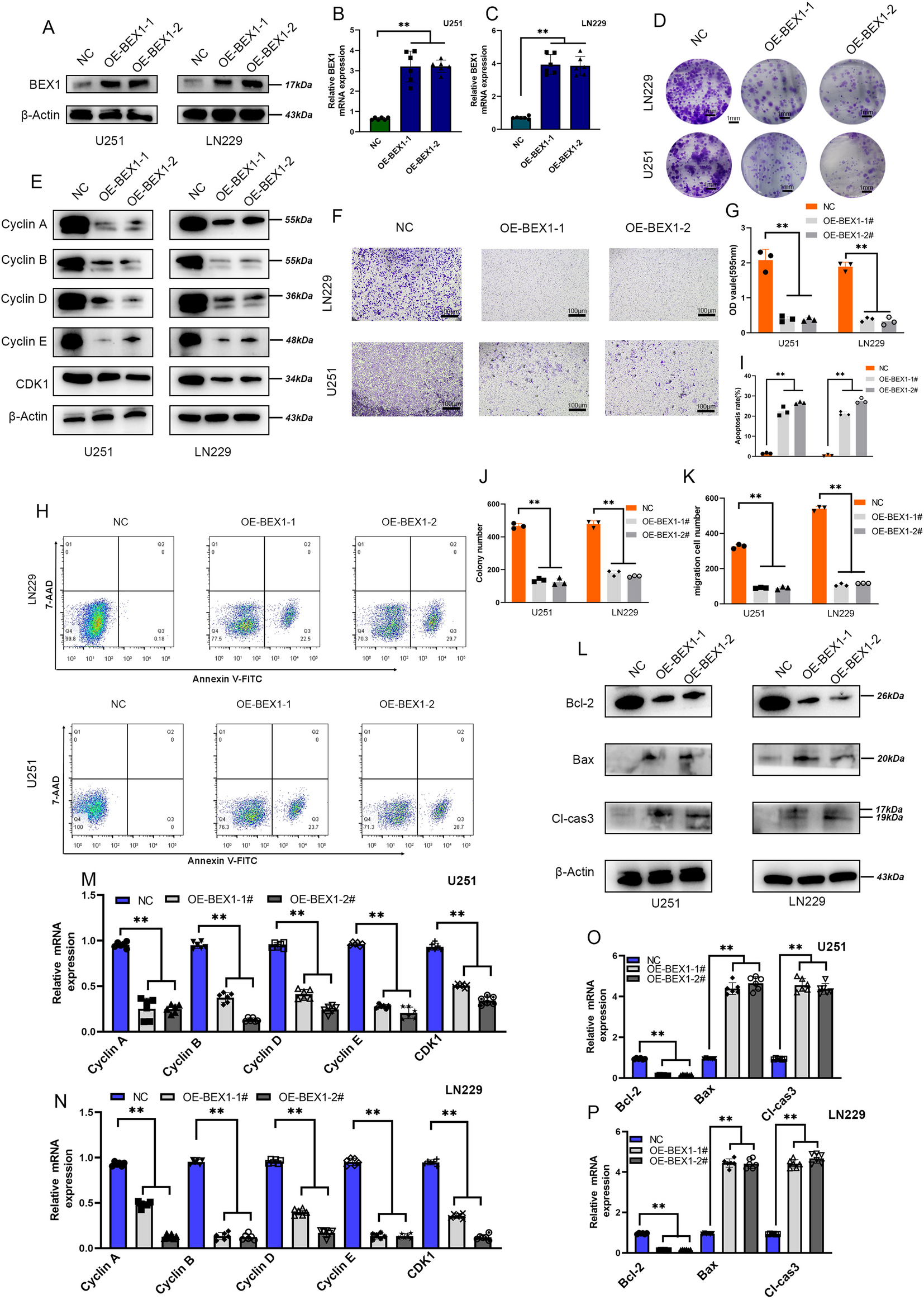
Fig. 2

BEX1 overexpression inhibits proliferation, migration, and cell cycle progression while promoting apoptosis in glioma cells. (A–C) Western blot and qRT-PCR confirmation of BEX1 overexpression in U251 and LN229 cells using two constructs (OE-BEX1-1 and OE-BEX1-2). (D) Colony formation assay showing reduced colony numbers upon BEX1 overexpression. (E) Western blot analysis of Cyclin A, B, D, E, and CDK1 expression. (F) Transwell migration assay showing reduced migration in BEX1-overexpressing cells. (G) CCK-8 assay indicating reduced proliferation after BEX1 overexpression. (H–I) Representative flow cytometry dot plots and corresponding quantification of apoptosis in U251 and LN229 cells following BEX1 overexpression. Apoptotic status was assessed using Annexin V-FITC and 7-AAD staining. The quadrants represent: Q1 (Annexin V⁻/7-AAD⁺): necrotic cells. Q2 (Annexin V⁺/7-AAD⁺): late apoptotic cells. Q3 (Annexin V⁻/7-AAD⁻): viable/live cells. Q4 (Annexin V⁺/7-AAD⁻): early apoptotic cells. The proportion of early and late apoptotic cells (Q2 + Q4) was significantly increased in BEX1-overexpressing groups compared to the control. Data are presented as mean ± SEM (n = 3); **P < 0.01, *P < 0.05 (one-way ANOVA). (J) Quantification of colony formation data. (K) Quantification of transwell migration data. (L) Western blot analysis of apoptosis-related proteins: Bcl-2, Bax, and cleaved caspase-3 (Cl-cas3). (M–N) qRT-PCR analysis of cell cycle genes (Cyclins A–E and CDK1) in U251 and LN229 cells. (O–P) qRT-PCR analysis of apoptosis-related genes (Bcl-2, Bax, Cl-cas3) in U251 and LN229 cells. Data are presented as mean ± SEM; *P < 0.05, **P < 0.01.