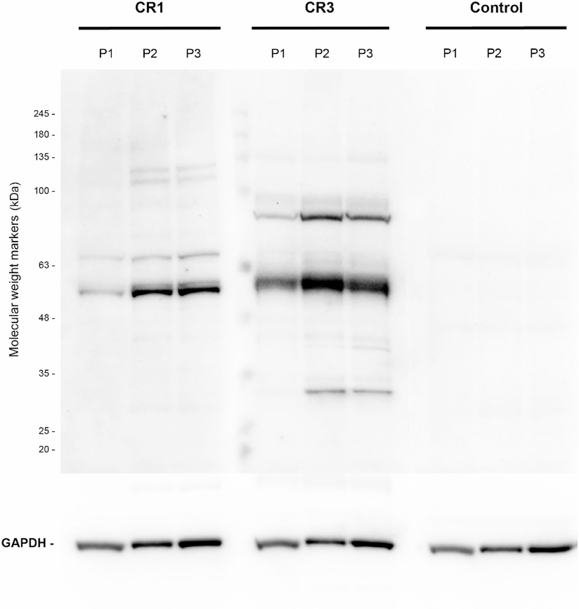
Fig. 3

Western blot of three individual placentas (P1, P2, P3) exposed to antibodies against CR1, CR3 and in the absence of primary antibody as a negative control (Control). A molecular weight ladder can be faintly seen between CR1 and CR3. The weights of the molecular markers are indicated in kDa. The same membrane was exposed to an antibody against the house-keeping protein GAPDH as a loading control.